The Daily Insight

Connected.Informed.Engaged.

updates

Would ovarian cyst show in blood test?

Writer John Hall

No laboratory tests are diagnostic for ovarian cysts.

Do ovarian cysts show up on blood tests?

Blood testing — One or more blood tests may be recommended if you are found to have an ovarian cyst. The blood test(s) can help to determine the nature of the cyst. Pregnancy testing – A blood or urine pregnancy test is often performed in premenopausal women with an ovarian cyst.

What blood tests are done for ovarian cysts?

CA 125 blood test.

Blood levels of a protein called cancer antigen 125 (CA 125) often are elevated in women with ovarian cancer. If your cyst is partially solid and you're at high risk of ovarian cancer, your doctor might order this test.

Can ovarian cancer be detected by a blood test?

The blood test CA125 can be used to help diagnose or exclude ovarian cancer. CA125 is a protein found in the blood and can be produced by ovarian cancer cells.

How do you check if you have cysts on your ovaries?

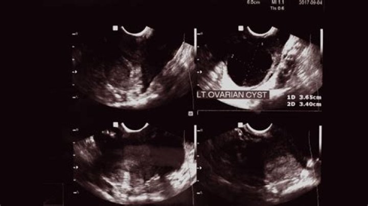
Your doctor can detect an ovarian cyst during a routine pelvic examination. They may notice swelling on one of your ovaries and order an ultrasound test to confirm the presence of a cyst.

CA 125 blood test ovarian cyst - tumour marker (What & Why)

39 related questions found

Where do you feel ovarian cyst pain?

Cysts in the ovary often don't cause any symptoms. If they're large, you may feel either a dull or sharp pain on one side of your pelvis or abdomen. You may also feel bloated, or a heaviness in your lower abdomen.

Can ovarian cyst cause hip pain?

Pain from an ovarian cyst usually occurs in the lower abdomen on the side where the cyst is located. This pain can radiate to the hip and groin. You may also feel full or bloated. Symptoms may be worse during menstruation.

What are the symptoms of stage 1 ovarian cancer?

Symptoms of ovarian cancer that may be present in stage 1 and later include:
  • Bloating/abdominal distension.
  • Pelvic pain.
  • Lower abdominal pain.
  • Loss of appetite.
  • Feeling full quickly or after small amounts of food.
  • Urinary symptoms such as urgency or frequency.
  • Fatigue.
  • Upset stomach.

What are the early warning signs of ovarian cancer?

What are the early warning signs of ovarian cancer?
  • Pelvic or abdominal pain or cramping. ...
  • Feeling full quickly after starting to eat or lack of appetite. ...
  • Indigestion or upset stomach.
  • Nausea.
  • Feeling like you have to urinate more frequently or urgently than normal. ...
  • Unexplained exhaustion. ...
  • Bloating and/or constipation.

Will a full blood count detect cancer?

Complete blood count (CBC).

This common blood test measures the amount of various types of blood cells in a sample of your blood. Blood cancers may be detected using this test if too many or too few of a type of blood cell or abnormal cells are found. A bone marrow biopsy may help confirm a diagnosis of a blood cancer.

What does ovarian pain feel like?

What does ovarian pain feel like? Ovarian pain may be felt in the lower abdomen, below the belly button, and pelvis. It can present itself as dull and consistent or as sharp bursts of sensation. While uncomfortable, ovarian pain is not uncommon.

When should I be concerned about an ovarian cyst?

Serious cyst concerns

If you have pelvic pain with fever, nausea, and vomiting, it could be a sign you have an infection associated with the cyst. An infection deserves immediate medical attention. Cysts can also rupture or twist — a condition called torsion.

What is the main cause of ovarian cyst?

The main causes of ovarian cysts may include hormonal imbalance, pregnancy, endometriosis, and pelvic infections. Ovarian cysts are sacs of fluid that form on either the ovary or its surface. Women possess two ovaries which sit on either side of the uterus.

How does a gyno check for ovarian cysts?

If your gynecologist suspects that your symptoms could be due to ovarian cysts the best way to diagnose these cysts is through a pelvic exam or by performing an ultrasound. The ultrasound will allow your doctor to examine the abdomen in detail to see if cysts are present.

How long do ovarian cysts take to go away?

Most cysts go away in 1 to 2 months without treatment or after 1 or 2 menstrual periods. Your doctor will recommend further testing or treatment if: Initial ultrasound doesn't clearly show what kind of cyst or growth is present, or both ovaries are affected.

How quickly can ovarian cysts grow?

These cysts often grow slowly, progressing at a rate of about 1.8 mm (about 0.07 inches) per year. Dermoid cysts do have the potential to become large, though. Case studies have reported that some dermoid cysts can grow more rapidly, between 8 and 25 mm (0.3 to about 1 inch) per year.

How do I check myself for ovarian cancer?

The 2 tests used most often (in addition to a complete pelvic exam) to screen for ovarian cancer are transvaginal ultrasound (TVUS) and the CA-125 blood test. TVUS (transvaginal ultrasound) is a test that uses sound waves to look at the uterus, fallopian tubes, and ovaries by putting an ultrasound wand into the vagina.

What does ovarian cancer discharge look like?

The signs or symptoms of ovarian cancer include: bleeding from the vagina that isn't normal (such as heavy or irregular bleeding, bleeding between periods), especially after menopause. frequent discharge from the vagina that is clear, white or coloured with blood. a lump that can be felt in the pelvis or abdomen.

Can an ovarian tumor be mistaken for a cyst?

Like noncancerous ovarian cysts, cancerous tumors sometimes cause no or only minor symptoms at first. They're typically hard to feel, even during a physical exam. That's why it's difficult to detect early-stage ovarian cancer. Symptoms of ovarian cancer are similar to those of ovarian cysts.

What are 3 symptoms of ovarian cancer?

Signs and symptoms of ovarian cancer may include:
  • Abdominal bloating or swelling.
  • Quickly feeling full when eating.
  • Weight loss.
  • Discomfort in the pelvic area.
  • Fatigue.
  • Back pain.
  • Changes in bowel habits, such as constipation.
  • A frequent need to urinate.

What can mimic ovarian cancer?

A wide spectrum of benign extraovarian pathology may closely resemble ovarian cancer. Fallopian tube disease such as hydrosalpinx, tuboovarian abscess, and chronic ectopic pregnancy may mimic cystic or solid ovarian neoplasm. Pedunculated uterine leiomyomas may imitate ovarian lesions.

Can an ultrasound detect ovarian cancer?

Ultrasound is often the first test done if a problem with the ovaries is suspected. It can be used to find an ovarian tumor and to check if it is a solid mass (tumor) or a fluid-filled cyst. It can also be used to get a better look at the ovary to see how big it is and how it looks inside.

Do ovarian cysts hurt more when sitting?

“Some cysts, when they become big, can fall behind the uterus, and in that case are sitting right by your cervix,” says Dr Chapman-Davis. “So you might feel pain with deep penetration.”

Do ovarian cysts hurt more at night?

“Endometriosis pain comes with the menstrual cycle and sex. Pain from ovarian cysts tends to be more acute, the 'wake you in the middle of the night' kind of pain.”

What kind of pain do ovarian cysts cause?

Most ovarian cysts are small and don't cause symptoms. If a cyst does cause symptoms, you may have pressure, bloating, swelling, or pain in the lower abdomen on the side of the cyst. This pain may be sharp or dull and may come and go. If a cyst ruptures, it can cause sudden, severe pain.