The Daily Insight

Connected.Informed.Engaged.

news

Would ms show up on an mri?

Writer John Hall

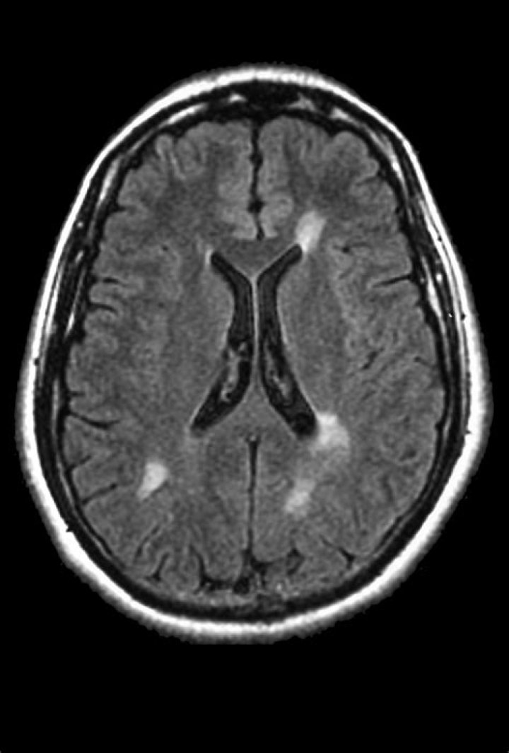
Magnetic resonance imaging has become the single most useful test for the diagnosis of MS; MRI is sensitive to brain changes which are seen in MS. Classically, the MRI shows lesions in the white matter deep in the brain near the fluid spaces of the brain (the ventricles).

Is MS always visible on MRI?

MRIs are not a 100 percent positive in the diagnosis of MS. In 5 percent of the people showing clinical MS disease activity, lesions were not visible on the MRI. However, if follow-up MRI studies continue to show no lesions, the MS diagnosis should be reconsidered.

Can you have a clear MRI and still have MS?

MS can be present even with a normal MRI and spinal fluid test although it's uncommon to have a completely normal MRI. Sometimes the MRI of the brain may be normal, but the MRI of the spinal cord may be abnormal and consistent with MS, so this also needs to be considered.

What will an MRI show if you have MS?

It can show whether there's any damage or scarring of the myelin sheath (the layer surrounding your nerves) in your brain and spinal cord. Finding this can help confirm a diagnosis in most people with MS. A standard MRI scanner is like a large tube or tunnel.

Do MS lesions show up on MRI without contrast?

MS patients can be effectively monitored without the use of contrast agents. Researchers assessed 507 follow-up MR images for new or enlarged lesions. The 3T MRI results did not differ significantly between contrast-enhanced and non-enhanced images.

Diagnosing MS - MRI scan

24 related questions found

When should you suspect multiple sclerosis?

People should consider the diagnosis of MS if they have one or more of these symptoms: vision loss in one or both eyes. acute paralysis in the legs or along one side of the body. acute numbness and tingling in a limb.

What does an MS hug feel like?

The 'MS hug' is symptom of MS that feels like an uncomfortable, sometimes painful feeling of tightness or pressure, usually around your stomach or chest. The pain or tightness can stretch all around the chest or stomach, or it can be just on one side.

What were your first signs of multiple sclerosis?

Common early signs of multiple sclerosis (MS) include:
  • vision problems.
  • tingling and numbness.
  • pains and spasms.
  • weakness or fatigue.
  • balance problems or dizziness.
  • bladder issues.
  • sexual dysfunction.
  • cognitive problems.

Can I have MS without lesions?

About 5 percent of people who are confirmed to have MS do not initially have brain lesions evidenced by MRI. However, the longer a person goes without brain or spinal cord lesions on MRI, the more important it becomes to look for other possible diagnoses.

What does MS tingling feel like?

For some people, the tingling sensations of MS are similar to those a person experiences when a foot or hand “falls asleep.” Others report more intense sensations, such as squeezing or burning. It is common for people to report bands of tingling.

Does a neck MRI show the brain?

An MRI can show how and where blood is flowing in your brain. It can also help caregivers see how your brain is working. An MRI can see tissues, bones, blood vessels, and joints in your head, neck, and spine.

What are symptoms of MS in a woman?

MS symptoms in females include the following.
  • Vision problems. For many people, a vision problem is the first noticeable symptom of MS. ...
  • Numbness. ...
  • Fatigue. ...
  • Bladder problems. ...
  • Bowel problems. ...
  • Pain. ...
  • Cognitive changes. ...
  • Depression.

Does MS show up in blood work?

No blood test can diagnose MS individually. However, the doctor may order blood testing to rule out other conditions that have similar symptoms. Blood testing can rule out the following health problems: Lyme disease.

Does MRI show early MS?

The magnetic resonance imaging (MRI) may show areas of abnormality that suggest MS, though the MRI in and of itself does not make the diagnosis. Spinal fluid testing may show that the immune system is active in and around the brain and spinal cord, supporting the diagnosis.

Do MS symptoms come and go throughout the day?

MS symptoms can come and go and change over time. They can be mild, or more severe. The symptoms of MS are caused by your immune system attacking the nerves in your brain or spinal cord by mistake.

How can you rule out MS?

Magnetic resonance imaging (MRI) is the test of choice for diagnosing MS in combination with initial blood tests. MRIs use radio waves and magnetic fields to evaluate the relative water content in tissues of the body. They can detect normal and abnormal tissues and can spot irregularities.

Can Covid mimic MS?

Serious neurological disorders like multiple sclerosis (MS) were out of the blue to be the first demonstration of COVID-19. This report highlights the representation of MS in a young woman, which resulted in a COVID-19 diagnosis.

What does MS back pain feel like?

Brief, intense pain that runs from the back of the head to the spine. Burning or aching across the body, which is also called the “MS hug” Aches caused by stiffness or muscle spasms.

What does MS leg numbness feel like?

A very common symptom of MS is numbness, often in the limbs or across the body in a band-like fashion. Numbness is divided into four categories: Paresthesia – feelings of pins and needles, tingling, buzzing, or crawling sensation.

Can you have MS for years and not know it?

Benign MS can't be identified at the time of initial diagnosis; it can take as long as 15 years to diagnose. The course of MS is unpredictable, and having benign MS doesn't mean that it can't progress into a more severe form of MS.

What do MS headaches feel like?

They are usually moderate to severe in intensity, last for longer than four hours if not treated, get worse with activity, feel throbbing and pulsating or are duller or more stabbing. The migraine headache is also accompanied by nausea and/or difficulty with light and loud noises.

Can MS make your head feel weird?

Many people with MS experience dizziness, in which you feel light-headed or off-balance, notes the NMSS. A less-common MS symptom is vertigo. When you have vertigo, you feel as though your surroundings are spinning around you, Dr.

Can MS make you short of breath?

Respiratory problems can occur in advanced multiple sclerosis (MS). Generally, mild dyspnea (shortness of breath) during strenuous activity is more common in MS than severe respiratory impairment or difficulty breathing while at rest.

Are MS symptoms like fibromyalgia?

Fibromyalgia and MS have some similar symptoms, including headaches, joint and muscle pain, numbness and tingling of extremities, memory problems, and fatigue. Like MS, fibromyalgia is more common in women than in men. But unlike MS, fibromyalgia does not show up as brain lesions on an MRI.

What does MS leg pain feel like?

It often occurs in the legs. Paraesthesia types include pins and needles, tingling, shivering, burning pains, feelings of pressure, and areas of skin with heightened sensitivity to touch. The pains associated with these can be aching, throbbing, stabbing, shooting, gnawing, tingling, tightness and numbness.