The Daily Insight

Connected.Informed.Engaged.

news

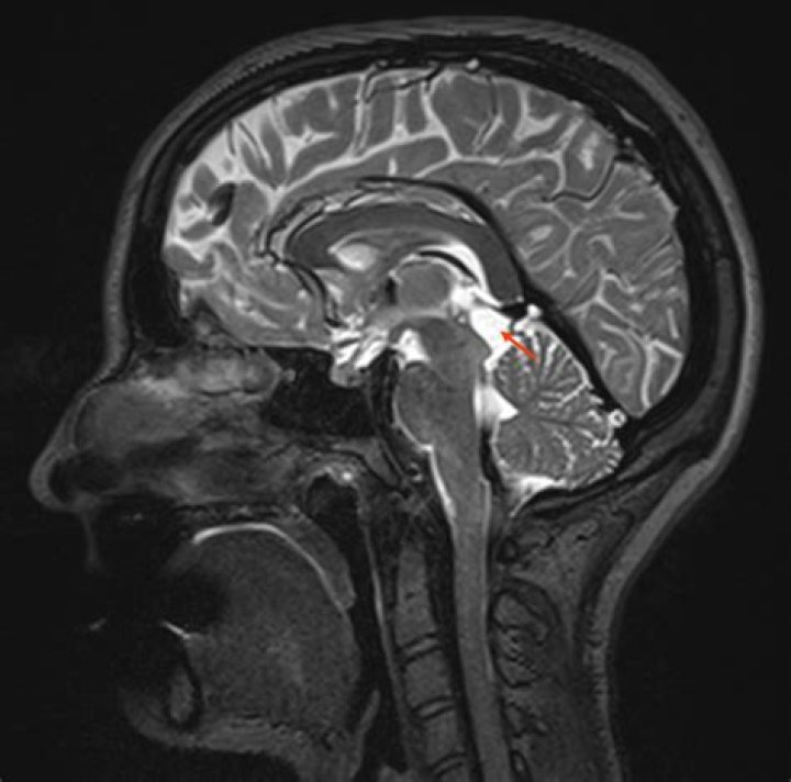
Where is a pineal cyst?

Writer John Johnson

Pineal cysts are fluid-filled spaces within the pineal gland. The pineal gland sits nearly in the center of your brain, and is responsible for hormones related to sleep-wake cycle. Pineal cysts are common, occurring in about 1-5% of the population. These cysts are benign, which means not malignant or cancerous.

What are the symptoms of a cyst in the pineal gland?

Pineal cysts usually have no clinical implications and remain asymptomatic for years. The most common symptoms include headache, vertigo, visual and oculomotor disturbances, and obstructive hydrocephalus.

Can pineal cysts go away?

Pineal gland cysts are common. As many as 2 percent of healthy adults develop this kind of cyst. Rarely does a pineal gland cyst cause headaches or any other symptoms. In most cases, no treatment is necessary for a pineal gland cyst.

What does a pineal cyst headache feel like?

The headaches associated with pineal cysts may be prolonged, intermittent or acute in duration [4]. In February 2016, the headaches continued to occur multiple days weekly. The character was described as a pressure, band- like sensation, which was distributed bitemporally.

When should a pineal cyst be removed?

Most pineal cysts will not require surgical removal. However, a doctor might suggest surgery if the cysts become larger than 2 centimeters. Surgery involves making a small hole in the cyst to release the fluid, which will drain into the brain's fluid spaces.

Advanced Treatment of Pineal Cyst, Pineoblastoma and Pineocytoma

45 related questions found

Can a pineal cyst cause sleep problems?

Children with pineal cysts scored significantly higher in the domains of disorders of excessive sleepiness and disorders of initiating and maintaining sleep than the two control groups. The scores in these two domains correlated significantly with the size of the cyst.

How serious is a brain cyst?

Even if a brain cyst isn't cancer, it can still cause problems. The cyst may press against brain tissue and cause symptoms, such as headache, vision problems, or nausea. If this happens, you may need surgery to remove the cyst.

Can a pineal cyst cause weight gain?

The primary symptom of the tumor would be hydrocephalus. If the pineal gland invades the thalamus, it can cause weakness and loss of sensation in half of the body. Invasion of the hypothalamus would disrupt sleep, impede temperature and water regulation, and cause weight gain.

What are the signs and symptoms of pineal tumors?

What are symptoms of a pineal region tumor?
  • Headaches.
  • Nausea.
  • Vomiting.
  • Difficulty with eye movements.
  • Difficulty with balance.
  • Difficulty walking.

Can a pineal cyst cause memory loss?

Pineal Cysts are known to cause seizures, migraines, nausea, paranoia, fatigue, memory problems, and more.

What can a pineal cyst cause?

Although most pineal cysts are small, large pineal cysts can cause a variety of symptoms such as: headaches, normal pressure hydrocephalus (increased pressure on the brain due to build-up excess fluid), and even seizures and loss of consciousness in extreme cases.

What do you do for a pineal cyst?

If you and your neurosurgeon decide to pursue surgery, the cyst can be treated endoscopically, a minimally invasive procedure. During surgery, a camera will be used to make a hole in the cyst (called fenestration). This will cause the cyst to drain into your normal fluid spaces.

Are pineal cysts hereditary?

Patients with retinoblastoma (Rb) are at risk of developing intracranial midline tumors located in the pineal gland or, less frequently, in the suprasellar region. This condition concerns only hereditary Rb patients, unilateral or most often bilateral, and is referred to as trilateral Rb (TRb) [1,2].

When is a pineal cyst considered large?

While small benign cysts of the pineal gland are a common incidental autopsy finding in the adolescent and adult years, lesions larger than 0.5 cm in diameter are rare. Cysts 2 cm or larger may cause neurologic symptoms and signs from aqueductal obstruction and tectal compression.

What diseases are associated with the pineal gland?

The dysfunction of the pineal gland produces less melatonin secretion, which may result in insomnia, abnormal thyroid function, anxiety, intestinal hyperactivity, and menopause. pressure, Seasonal Affective Disorder, abnormal adrenal functions.

Can a pineal cyst cause depression?

CONCLUSIONS: Pineal cysts can present with vague and unusual symptoms such as weakness, fatigue, depression, loss of appetite and weight loss that must be kept in the differential diagnosis.

Can a pineal tumor be mistaken for a cyst?

It has been previously reported that pineocytomas can mimic typical pineal cysts in imaging appearance113; it has been our experience, however, that when fully and completely imaged—which necessitates using postcontrast MR imaging—most of these tumors bear little resemblance to typical pineal cysts.

How long can you live with a pineal tumor?

The overall mean survival time with pineal tumors was 66 months and the 3-year survival rate was 84% with minimal posttreatment complications. It is concluded that pineal region tumors have male and childhood predominances, and the most common tumor is GCT. The majority of pineal region tumors are malignant.

Which are the most common lesions involving the pineal gland?

Pineal parenchymal tumours often produce an “explosion” of normal pineal calcifications towards the periphery and may demonstrate areas of cystic changes. The most common type of pineal lesion is GCT, particularly germinoma, which tends to engulf pineal calcifications.

What could go wrong with the pineal gland?

Malfunctions of the pineal gland

If the pineal gland is impaired, it can lead to a hormone imbalance, which can affect other systems in your body. For example, sleep patterns are often disrupted if the pineal gland is impaired. This can show up in disorders such as jet lag and insomnia.

What would happen if the pineal gland was removed?

Without it, the body would struggle to sleep and wake at the same time, and might not know how to respond to changes in light levels properly. More research may reveal additional pineal gland functions and determine how light and melatonin affect everyday health.

What doctor do you see for a pineal cyst?

Neurosurgeon identifies a novel constellation of symptoms that resolve upon excision of pineal cysts or cytomas. The pineal gland, a fingertip-sized structure located deep in the center of the brain, is found in almost all vertebrates, and yet its function, if any, remains a mystery.

Can a brain cyst change your personality?

Yes, they can. Brain tumors often cause personality changes and sudden mood swings. Although these mood changes and their severity will vary from one person to another, it's relatively common for someone with a brain tumor to experience increased: Aggression.

Are brain cysts life threatening?

Symptoms can include headaches, nausea, vomiting, seizures, increased pressure on the brain, developmental delays, and behavioral changes. Some cerebral cysts can become life threatening if they are not treated. Treatment for cerebral cysts depends on the size and location of the cyst.

Can a brain cyst cause a stroke?

Intracranial tumors may rarely cause stroke. We report an epidermoid cyst causing stroke in a pediatric patient. We have also reviewed the literature and pathogenesis of stroke caused by intracranial tumors.