The Daily Insight

Connected.Informed.Engaged.

news

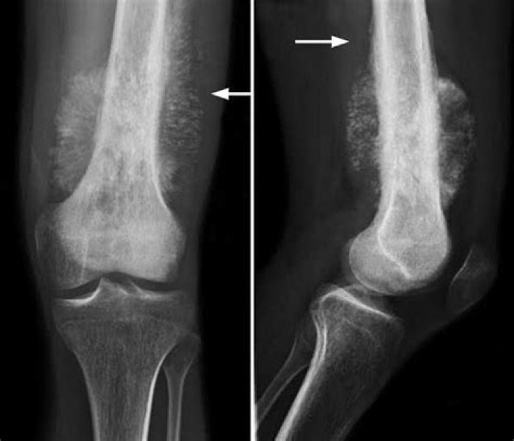
Where do osteosarcomas originate?

Writer James Austin

In children, teens, and young adults, osteosarcoma usually starts in areas where the bone is growing quickly, such as near the ends of the leg or arm bones: Most tumors develop in the bones around the knee, either in the lower part of the thigh bone (distal femur) or the upper part of the shinbone (proximal tibia).

What is the main cause of osteosarcoma?

Most osteosarcomas are not caused by inherited gene mutations, but instead are the result of gene changes acquired during the person's lifetime. Sometimes these gene changes are caused by radiation therapy used to treat another form of cancer, because radiation can damage the DNA inside cells.

What is the cell of origin of osteosarcoma?

The disease is diagnosed and defined through the observation of malignant osteoblastic cells that produce osteoid, however the exact cell of origin for this cancer remains to be definitively defined. Evidence exists to support a mesenchymal stem cell as well as committed osteoblast precursors as the cell of origin.

Where is osteosarcoma most common in the world?

Osteosarcoma commonly occurs in the long bones of the extremities near the metaphyseal growth plates. The most common sites are the femur (42%, with 75% of tumors in the distal femur), the tibia (19%, with 80% of tumors in the proximal tibia), and the humerus (10%, with 90% of tumors in the proximal humerus).

Who is most likely to get osteosarcoma?

The risk of osteosarcoma is highest for those between the ages of 10 and 30, especially during the teenage growth spurt. This suggests there may be a link between rapid bone growth and risk of tumor formation. The risk goes down in middle age, but rises again in older adults (usually over the age of 60).

Bone tumors - causes, symptoms, diagnosis, treatment, pathology

36 related questions found

Does osteosarcoma run in families?

The cause of osteosarcoma is not known. In some cases, it runs in families, and at least one gene has been linked to increased risk. Treatment varies from person to person and may include surgery, chemotherapy , radiation therapy , and samarium.

What gene mutation causes osteosarcoma?

Osteosarcoma is a feature of Li-Fraumeni syndrome-1 (LFS1; 151623), caused by mutation in the TP53 gene (191170), and of Li-Fraumeni syndrome-2 (LFS2; 609265), caused by mutation in the CHEK2 gene (604373).

Are osteosarcomas benign?

Osteosarcoma, also called osteogenic sarcoma, is a kind of bone cancer. It happens when the cells that grow new bone form a cancerous tumor. Treatment -- chemotherapy and surgery to take out the tumor -- is usually successful when the disease is diagnosed early, before it can spread.

Can old people get osteosarcoma?

Osteosarcoma is the most common type of primary malignant bone tumor in children and young adults. However, primary osteosarcoma in elderly patients is rare. The present study reports 3 cases of advanced osteosarcoma in elderly patients.

What is the pathogenesis of osteosarcoma?

Osteosarcoma is the most common primary malignancy of bone. It arises in bone during periods of rapid growth and primarily affects adolescents and young adults. The 5-year survival rate for osteosarcoma is 60%–70%, with no significant improvements in prognosis since the advent of multiagent chemotherapy.

How does osteosarcoma affect the cell cycle?

Numerous studies have investigated the pathogenesis of osteosarcoma. This tumor has generally been associated with alterations in genes involved in cell cycle regulation and apoptosis. Most notably, the p53 and retinoblastoma protein (Rb) pathways have been shown to play a role in the progression of osteosarcoma [4–7].

What does chondrosarcoma mean?

Listen to pronunciation. (KON-droh-sar-KOH-muh) A type of cancer that forms in bone cartilage. It usually starts in the pelvis (between the hip bones), the shoulder, the ribs, or at the ends of the long bones of the arms and legs.

Can osteosarcoma be prevented?

The risk of many adult cancers can be reduced with certain lifestyle changes (such as staying at a healthy weight or quitting smoking), but at this time there are no known ways to prevent osteosarcoma.

Is osteosarcoma genetically linked?

Genetic changes.

Osteosarcoma is probably caused by a combination of genetic changes, or mutations. Together, these changes cause immature bone cells to become tumor cells instead of healthy bone. Osteosarcoma may start because of overactive bone cells.

Can osteosarcoma come back?

The cancer may recur (come back) in the bone or in other parts of the body. Osteosarcoma and UPS most often recur in the lung, bone, or both. When osteosarcoma recurs, it is usually within 18 months after treatment is completed.

Can you get osteosarcoma in your 40s?

Osteosarcoma predominantly afflicts young people in their second and third decades of life. When osteosarcoma arises in patients older than 40 years, the prognosis is usually poorer compared to their younger counterparts.

What is primary osteosarcoma?

Primary osteosarcoma, like other primary bone tumors, originates in bone cells and is not directly associated with another cancer or disease. Secondary osteosarcoma also originates in bone cells but is associated with either a skeletal disease or treatment from another condition (typically cancer).

What happens in Paget's disease?

Paget's (PAJ-its) disease of bone interferes with your body's normal recycling process, in which new bone tissue gradually replaces old bone tissue. Over time, bones can become fragile and misshapen. The pelvis, skull, spine and legs are most commonly affected.

Where does dog osteosarcoma start?

Osteosarcoma will often appear in the dog's front limbs near the shoulder, wrist, and knee. That said, your dog's jaw, facial bones, vertebrae, ribs, and rear legs could also be affected by osteosarcoma.

Are bone Islands cancerous?

Bone islands are usually considered benign, stable, nonprogressive lesions, radiographically characterized by an ovoid, round, or oblong homogeneously dense and sclerotic focus in the spongiosa, with a preference for the long bones and the pelvis.

What is osteolytic metastasis?

Osteolytic metastases develop when metastatic cancer cells break down too much of the bone, making it very weak. Holes may develop in the bones as the bone is destroyed. Osteolytic metastases often happen when breast cancer spreads to the bone. Osteolytic metastases are more common than osteoblastic metastases.

What is hereditary retinoblastoma?

Hereditary retinoblastoma is caused by changes in a gene known as RB1. Genes carry important information that tells our body's cells how to function. The RB1 gene controls how cells grow and divide. One of its main jobs is to prevent tumors from forming, particularly retinoblastoma.

What genes are involved in osteosarcoma?

Osteosarcoma is a feature of Li-Fraumeni syndrome-1 (LFS1; 151623), caused by mutation in the TP53 gene (191170), and of Li-Fraumeni syndrome-2 (LFS2; 609265), caused by mutation in the CHEK2 gene (604373). Sporadic osteosarcoma has also been associated with mutations in the CHEK2 gene (604373.0005).

Where does osteosarcoma metastasis to?

Metastatic osteosarcoma

Most often it spreads to the lungs, but it can also spread to other bones, the brain, or other organs. About 1 out of 5 osteosarcomas have spread already when they are first diagnosed.