The Daily Insight

Connected.Informed.Engaged.

general

What is the semioval center?

Writer John Johnson

The semioval center is the white matter found underneath the grey matter on the surface of the cerebrum. The term is synonymous with cerebral white matter. The white matter, located in each hemisphere between the cerebral cortex and nuclei, as a whole has a semioval shape.

Where is the centrum semiovale in the brain?

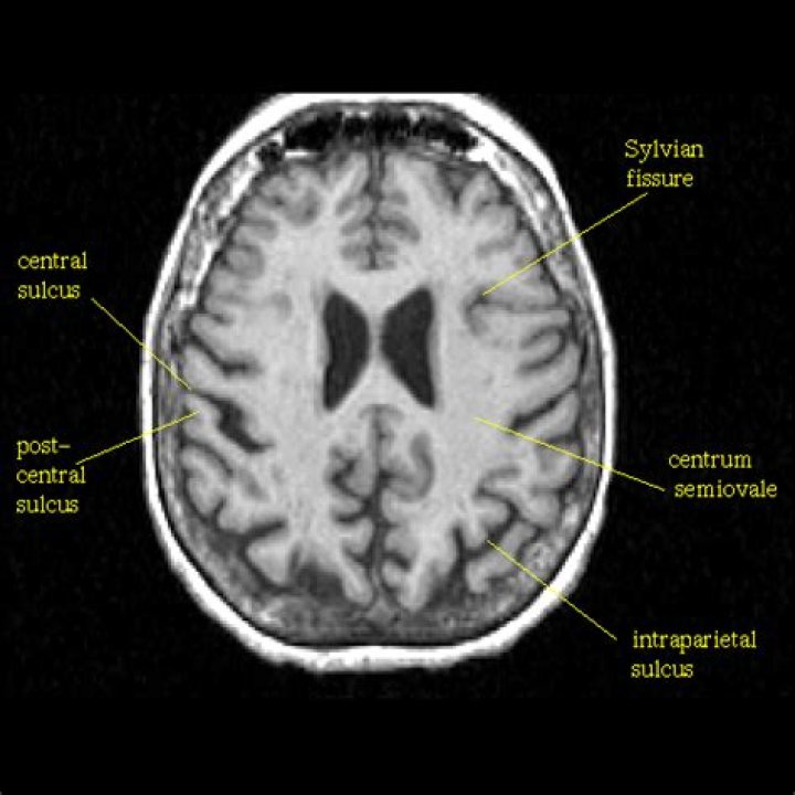
The centrum semiovale (plural: centra semiovale) is a paired mass of white matter superior to the lateral ventricles and corpus callosum, present in each of the cerebral hemispheres, subjacent to the cerebral cortex. It has a semi-oval shape and contains projection, commissural, and association fibers.

Where is the cortical?

The cerebral cortex is the outer covering of the surfaces of the cerebral hemispheres and is folded into peaks called gyri, and grooves called sulci. In the human brain it is between two and three or four millimetres thick, and makes up 40 per cent of the brain's mass.

What is the function of the corona radiata in the brain?

Function of the Corona Radiata

The corona radiata is an important group of nerves because of its role in sending and receiving messages between regions in the brain. 1 The nerve cells of the corona radiata are described as both afferent and efferent. This means that they carry messages to and from the body.

What is the meaning of corona radiata?

1 : the zone of small follicular cells immediately surrounding the ovum in the graafian follicle and accompanying the ovum on its discharge from the follicle. 2 : a fan-shaped mass of white matter fibers passing to and from the cerebral cortex.

Lecture 13 Semioval center and fornix

18 related questions found

What is the center of your brain called?

The brainstem (middle of brain) connects the cerebrum with the spinal cord. The brainstem includes the midbrain, the pons and the medulla.

What does the cortex control?

The cerebral cortex, the largest part of the brain, is the ultimate control and information-processing center in the brain. The cerebral cortex is responsible for many higher-order brain functions such as sensation, perception, memory, association, thought, and voluntary physical action.

What is cortical organization?

The organization of the cortex can be understood as a complex system comprised of interconnected modules called minicolumns. ... It is this author's opinion that this complex system is poised to collapse under the weight of environmental exigencies. Some mental disorders may be the manifestations of this collapse.

What is T2 and flair Hyperintensities?

Focal hyperintensities in the subcortical white matter demonstrated by T2-weighted or FLAIR images are a common incidental finding in patients undergoing brain MRI for indications other than stroke. They are indicative of chronic microvascular disease.

What is corona radiata and Centrum Semiovale?

The corona radiata refer to a pair of white matter tracts seen at the level of the lateral ventricles. Superiorly they are continuous with the centrum semiovale. Inferiorly these tracts converge as the internal capsule.

What does white matter do in the brain?

In the most general sense, the gray matter of the brain facilitates information processing, and the white matter facilitates information transfer; both are critical for efficient operation of the neural networks responsible for a specific mental domain.

What are the symptoms of white matter disease?

Symptoms of white matter disease may include:
  • issues with balance.
  • walking slow.
  • more frequent falls.
  • unable to do more than one thing at a time, like talking while walking.
  • depression.
  • unusual mood changes.

What is periventricular region?

There are several locations for white matter lesions. Those around the center black spaces are called "periventricular white matter lesions". Those located between the cortex and ventricles, with some space between, are just called "white matter lesions".

How common are white matter lesions?

White-matter lesions

They are highly frequent in the elderly population. In people aged 60–70 years the prevalence is about 87%, whereas the prevalence at the age of 80–90 years even approaches 100% (de Leeuw et al., 2001; Launer, 2004).

What is the function of the cortex in plants?

The cortex forms layers of cells that constitute cork. It is responsible for the transportation of materials into the central cylinder of the root through diffusion and may also be used for food storage in the form of starch. The innermost layer of the cortex is the endodermis.

What is cortex in human body?

In anatomy and zoology, the cortex (plural cortices) is the outermost (or superficial) layer of an organ. Organs with well-defined cortical layers include kidneys, adrenal glands, ovaries, the thymus, and portions of the brain, including the cerebral cortex, the best-known of all cortices.

What is found in the cortex?

cortex, in plants, tissue of unspecialized cells lying between the epidermis (surface cells) and the vascular, or conducting, tissues of stems and roots. Cortical cells may contain stored carbohydrates or other substances such as resins, latex, essential oils, and tannins.

What part of brain controls sleep?

The hypothalamus, a peanut-sized structure deep inside the brain, contains groups of nerve cells that act as control centers affecting sleep and arousal.

What are the 3 types of the brain?

The brain can be divided into three basic units: the forebrain, the midbrain, and the hindbrain. The hindbrain includes the upper part of the spinal cord, the brain stem, and a wrinkled ball of tissue called the cerebellum (1).

Does the brain feel pain?

The brain itself does not feel pain because there are no nociceptors located in brain tissue itself. This feature explains why neurosurgeons can operate on brain tissue without causing a patient discomfort, and, in some cases, can even perform surgery while the patient is awake.

What is caudate and putamen?

The putamen is a large structure located within the brain. It is involved in a very complex feedback loop that prepares and aids in movement of the limbs. It is closely intertwined with the caudate nucleus, nucleus accumbens, and globus pallidus, which are together known as the corpus striatum.

What is corona radiata in ovum?

Corona Radiata: the corona radiata surrounds an egg and consists of two or three layers of cells from the follicle. They are attached to the zona pellucida – the outer protective layer of the egg – and their main purpose is to supply vital proteins to the cell.

What is in the circle of Willis?

The Circle of Willis is the joining area of several arteries at the bottom (inferior) side of the brain. At the Circle of Willis, the internal carotid arteries branch into smaller arteries that supply oxygenated blood to over 80% of the cerebrum.