The Daily Insight

Connected.Informed.Engaged.

updates

What is tarsometatarsal arthrodesis?

Writer John Johnson

The Lapidus procedure is a fusion of the first TMT joint intended to eliminate joint movement and correct deformity around the first metatarsal.

Is arthrodesis a surgery?

Arthrodesis, also referred to as a joint fusion, the uniting of two bones at a joint, is typically completed through surgery. In simple terms, the orthopedic surgeon manually straightens out the damaged joint, removes the cartilage, and then stabilizes the bone so that they heal together.

Is arthrodesis same as fusion?

Arthrodesis is also known as syndesis or artificial ankylosis. It is also commonly referred to as joint fusion. It is a method of surgical joint ossification used to fuse the bones in a joint when other treatments do not yield positive results.

How long does it take for a foot bone fusion to heal?

Timeline: The recovery period for a foot fusion surgery can range from 2-3 months. Immediately after foot surgery: Your foot will be in a plaster cast to the knee. It will be numb and pain-free.

What is arthrodesis foot?

Arthrodesis is a medical term that describes fusion. In a fusion, the bones are locked together by removing the cartilage from the joint surface and creating a "bone bridge" across the joint. A triple arthrodesis is a fusion in the hindfoot (back of the foot) used to treat many types of painful foot deformities.

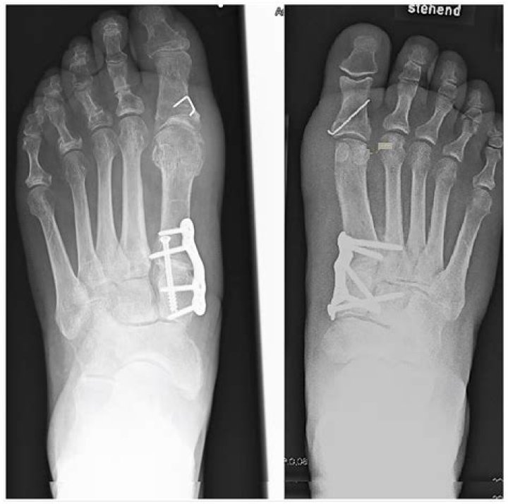
Tarsometatarsal (Lisfranc) joint arthrodesis using the Shark Screw® allograft

26 related questions found

What is arthrodesis status mean?

Back Surgery Video: How Spinal Fusion Stops Back Pain. Arthrodesis is the fusion of vertebrae over a joint space that occurs through a natural process or as a result of surgical procedure.

Can you run after foot fusion?

If you do try and return to running after surgery, it's important to ease back into it, gradually making sure that you run on soft surfaces when possible and that you always wear good shock absorbing running shoes. It is not often apparent how long it actually takes to recover from major foot surgery.

What is Tarsometatarsal joint fusion?

Tarsometatarsal joint fusion is a surgical procedure that fuses the bones of the middle foot and stiffens it to correct deformities in the tarsometatarsal region.

How long is non weight bearing after foot fusion?

You will not be able to put weight onto the foot for a total of 8-10 weeks after surgery. You will remain in the boot for about 12-14 weeks after surgery and will continue to increase your activity at that point.

When can I walk after foot fusion surgery?

During the second week after your operation, you should be able to walk short distances using your crutches, but it is crucial to remember to refrain from putting any weight on your foot. After six weeks and once an X-ray confirms that your bones are healing correctly, you can start to put weight on your foot.

Is arthrodesis same as laminectomy?

In some cases, spinal fusion (arthrodesis) may be done at the same time to help stabilize sections of the spine treated with decompressive laminectomy. Spinal fusion is major surgery, usually lasting several hours.

Is arthrodesis a major surgery?

Arthrodesis in the wrist stabilizes the joint. It fuses the long bone in your forearm to the smaller bones in your wrist. This is a major surgical procedure. Your doctor may only recommend it after trying conservative treatments first.

Is wrist fusion a disability?

Long-term follow-up studies have demonstrated that fused wrists can be tender, the functional disability troublesome, and the majority of patients miss a minimum of movement.

What is fusion arthrodesis?

Arthrodesis (Fusion)

Arthrodesis refers to the fusion of two or more bones in a joint. In this process, the diseased cartilage is removed, the bone ends are cut off, and the two bone ends are fused into one solid bone with metal internal fixation.

Why is arthrodesis performed?

Bone or joint fusion surgery, called arthrodesis, is performed to relieve arthritis pain in the ankles, wrists, fingers, thumbs, or spine. In arthrodesis, two bones on each end of a joint are fused, eliminating the joint itself and making one continuous bone. This surgery is typically quite successful.

How much does arthrodesis cost?

The price of an arthrodesis can range from $1,000 up to $5,000. This is due to the need for general anesthesia, diagnostic imaging, and medication after the procedure has been completed.

How do I get back in shape after foot surgery?

Low Impact Exercises to Help You Stay Active After Foot Surgery
  1. Pilates and Yoga. Pilates and yoga are two types of exercise that use both stretching and positioning to increase circulation and improve flexibility. ...
  2. Stretching and Toning. ...
  3. Swimming. ...
  4. Exercise Bike.

What happens when bones fuse together?

If you have severe arthritis pain, your doctor may suggest that you have joint fusion surgery (also called “arthrodesis”). This procedure fuses, or “welds,” together the two bones that make up your aching joint. It causes the bones to become one solid bone, and it can lessen your pain.

What is the third Tarsometatarsal joint?

Anatomical terminology. The tarsometatarsal joints (Lisfranc joints) are arthrodial joints in the foot. The tarsometatarsal joints involve the first, second and third cuneiform bones, the cuboid bone and the metatarsal bones.

What is midfoot arthrodesis?

• Midfoot fusion surgery: Midfoot fusion, also referred to as arthrodesis, is a. procedure in which the separate bones that make up the arch of the foot are permanently fused into a single mass of bone. Fusion eliminates the normal motion that occurs between these bones.

What is metatarsal osteotomy?

A metatarsal osteotomy is a surgical procedure performed to treat a foot deformity. This surgery involves cutting the metatarsal bone of the big toe and realigning the bone to correct the deformity.

How long do I need to elevate my foot after surgery?

Since virtually all foot and ankle operations require rest and elevation of the operated foot for at least 2 weeks following surgery, it is rare that a patient will be allowed to return to work before 2 weeks following surgery.

How long does it take bones to fuse after surgery?

After surgery the body begins its natural healing process and new bone is formed. After 3 to 6 months, the bone graft should join the vertebrae above and below to form one solid piece of bone (Fig. 2).

What is the fastest way to recover from foot surgery?

6 Tips For A Speedy Recovery Following Surgery on Your Foot or Ankle
  1. When resting, keep your foot elevated. ...
  2. Apply ice packs to the affected area to reduce pain and swelling. ...
  3. Clean the cast frequently. ...
  4. Adhere to instructions regarding weight-bearing. ...
  5. Engage in regular exercise. ...
  6. Get enough rest.