The Daily Insight

Connected.Informed.Engaged.

general

What is foveolar hyperplasia?

Writer Emily Schmidt

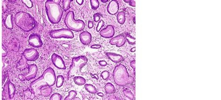
Foveolar hyperplasia was defined as the presence of abnormal branching and twisting and at least a twofold elongation of gastric cardiac foveolae and pits.

What causes foveolar hyperplasia?

Aims: In the gastric antrum and body, foveolar hyperplasia is a feature of reactive gastritis resulting from--for example, duodenogastric bile reflux and the use of non-steroidal anti-inflammatory drugs (NSAIDs).

What does mild foveolar hyperplasia mean?

Foveolar hyperplasia – Hyperplasia is a word pathologists use to describe an increased number of cells. Foveolar hyperplasia means there is an increased number of foveolar cells on the inside surface of the stomach. The increased number of cells causes the glands to look twisted.

What is focal foveolar hyperplasia?

Foveolar hyperplasia is a rare disorder characterized by an overgrowth of mucous cells in the stomach. In children, it may present as a localized lesion that affects the antrum primarily, called focal foveolar hyperplasia (FFH), or as a diffuse lesion, known as Ménétrier disease.

What is hyperplasia of stomach?

Hyperplastic gastric or stomach polyps appear in the epithelium, the layer of tissue that lines the inside of your stomach. Hyperplastic polyps are usually found during a colonoscopy. They're relatively common and usually benign, meaning they aren't cancerous.

Hyperplasia in colon tissue | Gastrointestinal system diseases | Health & Medicine | Khan Academy

29 related questions found

Is Foveolar hyperplasia serious?

A study from the 1980s suggested that hyperplastic polyps and foveolar hyperplasia in patients with atrophic corpus gastritis indicate an increased risk of gastric cancer. Large hyperplastic polyps may harbour carcinoma.

What is Foveolar?

Foveolar cells or surface mucous cells are mucus-producing cells which cover the inside of the stomach, protecting it from the corrosive nature of gastric acid. These cells line the gastric mucosa (mucous neck cells are found in the necks of the gastric pits).

Is foveolar hyperplasia precancerous?

Since the hyperplastic polyp very probably does not evolve from focal foveolar hyperplasia, and the latter is not a pre-neoplastic condition or lesion, it is proposed that focal foveolar hyperplasia should no longer be referred to as "gastric polyp," which would avoid unnecessary follow-up examinations and possibly, ...

Is metaplasia benign or malignant?

When cells are faced with physiological or pathological stresses, they respond by adapting in any of several ways, one of which is metaplasia. It is a benign (i.e. non-cancerous) change that occurs as a response to change of milieu (physiological metaplasia) or chronic physical or chemical irritation.

What is Menetrier's disease?

Menetrier disease is a rare disorder characterized by massive overgrowth of mucous cells (foveola) in the mucous membrane lining the stomach, resulting in large gastric folds. The most common symptom associated with Menetrier disease is pain in the upper middle region of the stomach (epigastric pain).

Is reactive Gastropathy serious?

Reactive gastropathy

NSAIDs are the most common noninfectious cause of peptic ulcers and can cause life-threatening bleeding, obstruction, or perforation of the stomach or small intestine.

What causes erythema in the stomach?

Erythematous mucosa is inflammation of the mucosal lining of the digestive tract. It can be a sign of gastritis, colitis, proctitis, or anusitis. Environmental factors or an infection may be causing the underlying issue, and treating this issue will resolve the inflammation.

Does gastritis cause leukocytosis?

Acute bacterial or phlegmonous gastritis

These bacteria cause an intense acute inflammatory response with ulceration and abscess formation involving the full thickness of the gastric wall. Patients present with nausea, vomiting, upper abdominal pain and tenderness, usually associated with a neutrophilic leukocytosis.

Does Gastropathy heal?

Your doctor will recommend treatments based on the type of gastritis or gastropathy you have and its cause. Treating gastritis and gastropathy can improve symptoms, if present, and lower your chance of complications.

Does chronic gastritis cause bloating?

Gastritis is a condition that inflames the stomach lining (the mucosa), causing belly pain, indigestion (dyspepsia), bloating and nausea. It can lead to other problems. Gastritis can come on suddenly (acute) or gradually (chronic). Medications and dietary changes can reduce stomach acid and ease gastritis symptoms.

Does intestinal metaplasia go away?

Risk Factors

1 Aside from the presence of an H. pylori infection, specific factors that increase the risk of intestinal metaplasia include: Having a first-degree relative with gastric cancer. Lack of vitamin C in the diet.

What is Foveolar metaplasia?

Foveolar gastric metaplasia (FGM) of the duodenum is a benign finding often related to imperfect mucosal healing encountered during esophagogastroduodenoscopy (EGD). Large FGMs having the endoscopic appearance of polyps or periampullary prominence are rare and often confuse the endoscopist with adenomatous lesions.

What is the difference between metaplasia and hyperplasia?

Metaplasia is the conversion of one type of cell to another. Any of your normal cells may become cancer cells. Before cancer cells form in your body's tissues, they go through abnormal changes called hyperplasia and dysplasia.

Is hyperplasia a tumor?

An increase in the number of cells in an organ or tissue. These cells appear normal under a microscope. They are not cancer, but may become cancer.

What is cellular dysplasia?

A term used to describe the presence of abnormal cells within a tissue or organ. Dysplasia is not cancer, but it may sometimes become cancer. Dysplasia can be mild, moderate, or severe, depending on how abnormal the cells look under a microscope and how much of the tissue or organ is affected.

Can gastric polyps cause pain?

Stomach polyps usually do not cause symptoms. They are usually found when a patient is being examined for another stomach issue. Larger polyps may cause internal bleeding or abdominal pain.

What is polypoid gastritis?

Conclusion: Hyperplastic polyps are the most frequently encountered subtype of gastric polypoid lesions. They are usually associated with chronic gastritis or H pylori gastritis. Contrary to the previous belief, they may harbour adenomatous changes or dysplastic foci.

Where are foveolar cells located?

Foveolar cells are located in the superficial mucosal compartment of the stomach (cardia) and secrete mucus as well as bicarbonate ions (Bornhorst & Singh, 2014).

What do foveolar cells do?

Foveolar cells, which secrete mucin, line the surface of the stomach and the gastric. These are tall and columnar cells that contain clear mucin-containing granules. Neck cells are located in the gastric pits, which are probably progenitor foveolar cells.

Does H pylori cause Hypergastrinemia?

H. pylori infection can cause hypergastrinemia by both reducing D-cell somatostatin production and increasing G-cell gastrin production.