The Daily Insight

Connected.Informed.Engaged.

updates

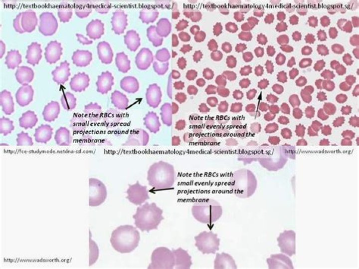
What do crenated cells look like?

Writer Mia Kelly

These erythrocytes look as if they have projections extending from a smaller central area, like a spiked ball. The crenations may be either large, irregular spicules of acanthocytes, or smaller, more numerous, regularly irregular projections of echinocytes.

What happens when red blood cells are crenated?

When red blood cells are in a hypertonic (higher concentration) solution, water flows out of the cell faster than it comes in. This results in crenation (shriveling) of the blood cell.

What is crenation in a cell?

Crenation – cell shrinks by osmosis because H2O leaves cell. solution is HYPERtonic (hyper – means excess, hypo – means insuffient. Crenation (opposite of Lysis -cell swells/destroyed/hypotonic)

What is a crenated RBC?

Crenated red cells have changed from a disc shape to spheres covered with short, sharply pointed projections. they are usually artefactual but may be seen in conditions such as uraemia, GI bleeding and stomach carcinoma. artefactual crenation may be due to slow drying of the smear or aging of blood in the tube.

What causes crenated cells?

Crenated erythrocytes are most commonly caused by excess EDTA (underfilled collection tube), but may also be caused by (a) slow drying, (b) drying in a humid environment, or (c) an alkaline pH from glass slides. When crenation is an artifact, most cells on the slide will exhibit this characteristic.

Red blood cells under the microscope, hypo and hypertonic solutions

28 related questions found

When do you see Heinz bodies?

Heinz bodies may be present in patients with glucose-6-phosphate dehydrogenase (G6PD), or FAD f(adenine dinucleotide deficiency), i.e. methemoglobinemia. [6] it may also indicate unstable hemoglobin, e.g. HB Koln.

How do you tell if red blood cells are Crenated?

Crenation is also used to describe a feature of red blood cells. These erythrocytes look as if they have projections extending from a smaller central area, like a spiked ball.

How can osmosis cause Crenation of red blood cells hemolysis?

When subjected to hypertonic media (e.g. 1.8% NaCl), the cells lose their normal biconcave shape, undergoing collapse (leading to crenation) due to the rapid osmotic efflux of water.

Do red blood cells Plasmolyse?

A red blood cell in a hypertonic solution, causing water to move out of the cell.

What is meant by Crenation?

1a : a crenate formation especially : one of the rounded projections on an edge (as of a coin) b : the quality or state of being crenate. 2 : shrinkage of red blood cells resulting in crenate margins.

What determines tonicity?

Tonicity depends only on the concentration of nonpenetrating solutes, so any solution of pure glucose will be hypotonic, no matter what its osmolarity, and tonicity describes only the change in cell volume at equilibrium.

When do you see Schistocytes?

Schistocytes are often seen in patients with hemolytic anemia. They are frequently a consequence of mechanical artificial heart valves and hemolytic uremic syndrome, thrombotic thrombocytopenic purpura, among other causes.

What is transported in exocytosis?

Exocytosis (/ˌɛksoʊsaɪˈtoʊsɪs/) is a form of active transport and bulk transport in which a cell transports molecules (e.g., neurotransmitters and proteins) out of the cell (exo- + cytosis). As an active transport mechanism, exocytosis requires the use of energy to transport material.

Why is tonicity important in clinical practice?

Having a good understanding of tonicity gives a good insight into how dehydration can affect the cells of the body. An isotonic solution is best because the osmotic pressure within and outside the cell is equal, so there is no net movement of water and the cells will retain their shape and function.

How does tonicity affect the function of the cell?

The tonicity of a solution is related to its effect on the volume of a cell. A hypotonic solution causes a cell to swell, whereas a hypertonic solution causes a cell to shrink. ... Although it is related to osmolality, tonicity also takes into consideration the ability of the solute to cross the cell membrane.

Is turgor a pressure?

Turgor pressure is the hydrostatic pressure in excess of ambient atmospheric pressure which can build up in living, walled cells. Turgor is generated through osmotically driven inflow of water into cells across a selectively permeable membrane; this membrane is typically the plasma membrane.

Why do red blood cells burst in water?

Red blood cells placed in a solution with a higher water concentration compared to their contents (eg pure water) will gain water by osmosis, swell up and burst. ... Water will diffuse from a higher water concentration inside the cell to a lower water concentration outside the cell.

What happens if a red blood cell shrinks?

If you place an animal or a plant cell in a hypertonic solution, the cell shrinks, because it loses water ( water moves from a higher concentration inside the cell to a lower concentration outside ). ... A single animal cell ( like a red blood cell) placed in a hypotonic solution will fill up with water and then burst.

Is D5NS hypertonic or hypotonic?

These are some examples of hypertonic solutions: D10W (dextrose 10% in water), D5NS (dextrose 5% in . 9% sodium chloride), D5 12 NS (dextrose 5% in . 45% sodium chloride), and D5LR (dextrose 5% in lactated ringer).

What would result if the tonicity of the solution is not isotonic to the blood cells?

The tonicity will result in the following: no net movement of water (isotonic), net flow of water out of a cell (hypertonic), or net flow of water into a cell (hypotonic). Two solutions that are isosmotic may not be isotonic. ... In the case of red blood cells, this is referred to as hemolysis (4).

What type of transport process moves solutes against their concentration gradients?

During active transport, substances move against the concentration gradient, from an area of low concentration to an area of high concentration. This process is “active” because it requires the use of energy (usually in the form of ATP). It is the opposite of passive transport.

Which of the following is characteristic of osmosis?

Osmosis is the diffusion of water through a semipermeable membrane according to the concentration gradient of water across the membrane. Whereas diffusion transports material across membranes and within cells, osmosis transports only water across a membrane and the membrane limits the diffusion of solutes in the water.

How do you tell if a cell is hypertonic hypotonic or isotonic?

If a cell is placed in a hypertonic solution, water will leave the cell, and the cell will shrink. In an isotonic environment, there is no net water movement, so there is no change in the size of the cell. When a cell is placed in a hypotonic environment, water will enter the cell, and the cell will swell.

What does Lyse mean in biology?

(LY-sis) In biology, lysis refers to the breakdown of a cell caused by damage to its plasma (outer) membrane. It can be caused by chemical or physical means (for example, strong detergents or high-energy sound waves) or by infection with a strain virus that can lyse cells.

What causes Cabot ring bodies?

Cabot rings are thin, threadlike ring- or “figure eight”–shaped red blood cell inclusions, likely remnants from mitotic spindles. They are rarely seen in peripheral blood, and their presence indicates a defect in erythrocyte production, especially in pernicious anemia and lead poisoning.