The Daily Insight

Connected.Informed.Engaged.

news

Is reactive lymphoid hyperplasia cancer?

Writer John Hall

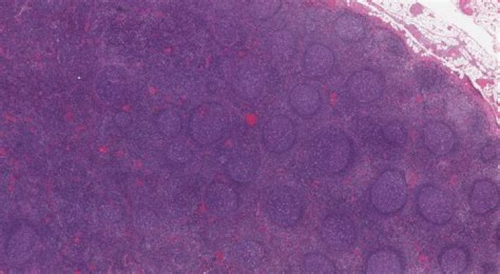
Reactive lymphoid hyperplasia (RLH) is a rare and benign lesion found in organs of the gastrointestinal tract, skin, lung, orbit, and more rarely in the liver. Due to its similar appearance on imaging, it is hard to differentiate from primary liver malignancies.

What does reactive lymphoid hyperplasia Mean?

Reactive lymphoid hyperplasia is a benign nodular lesion characterized by marked proliferation of non-neoplastic, polyclonal lymphocytes forming follicles. The lesion is found in various organs such as skin, orbit, lung, gastrointestinal tract, and liver.

Can reactive hyperplasia become cancer?

However, older patients with nonspecific reactive hyperplasia often have involvement of multiple lymph nodes; the hyperplasia has been associated with concurrence or subsequent development of malignant lymphoma in a significant subset of cases.

How do you treat reactive lymphoid hyperplasia?

Benign reactive lymphoid hyperplasia is one of the lymphoproliferative disorders of the conjunctiva and ocular adnexa. Extensive literature review shows that most cases are treated with surgery, steroids or observation.

Is lymphoid hyperplasia normal?

Nodular lymphoid hyperplasia (NLH) in the small intestine is a rare benign lesion, characterized by the presence of multiple small nodules on the surface of the intestine.

About Lymphoma in Hindi

28 related questions found

What are the three types of reactive lymphoid hyperplasia?

Reactive lymphoid hyperplasia (RLH) has been described as the benign and reversible enlargement of lymphoid tissue secondary to antigen stimulus. There are four patterns which can be seen in RLH: Follicular Pattern, Diffuse Paracortical Hyperplasia, Sinus Histiocytosis and Mixed Pattern.

How is lymphoid hyperplasia diagnosed?

Nodular lymphoid hyperplasia generally presents as an asymptomatic disease, but it may cause gastrointestinal symptoms like abdominal pain, chronic diarrhea, bleeding or intestinal obstruction. A diagnosis is made at endoscopy or contrast barium studies and should be confirmed by histology.

What causes lymphoid hyperplasia?

Lymphoid hyperplasia is an increase in the number of normal cells (called lymphocytes) that are contained in lymph nodes. This most often happens when there is an infection with bacteria, viruses, or other types of germs and is part of the body's reaction to the infection.

How long can a reactive lymph node last?

In many cases, swelling reduces and then disappears within 2 to 3 weeks once the body has successfully fought the infection. If the problem persists for longer than a couple of weeks, it might warrant a visit to the doctor. Other reasons to visit the doctor include: a lymph node that feels hard or rubbery to the touch.

What causes lymphoid hyperplasia in throat?

Lymphoid papillary hyperplasia may be the result of the excessively persistentantigenic stimulation on the tonsils.

What is benign lymphoid hyperplasia?

Benign lymphoid hyperplasia is a disorder characterized by polyclonal lymphocytic infiltration of orbital tissues, predominantly with B-cells. Rituximab is a monoclonal antibody directed against CD20, a B-cell marker. Two patients with recurrent orbital masses involving the lacrimal glands were treated with rituximab.

Is lymphoid hyperplasia lymphoma?

Nodular lymphoid hyperplasia (NLH) is a well-characterized condition frequently associated with increased risk of gastrointestinal tumors, mainly gastrointestinal lymphoma. As a pathological entity it seems to be rare.

What are reactive lymphoid follicles?

Background: Reactive lymphoid follicular hyperplasia is a benign proliferation of lymphoid follicles, which can develop wherever lymphoid tissue is present. We present the unique case of an RLFH that involved the radial nerve and presented as a peripheral nerve tumor.

What size are cancerous lymph nodes?

Lymph nodes measuring more than 1 cm in the short axis diameter are considered malignant. However, the size threshold does vary with anatomic site and underlying tumour type; e.g. in rectal cancer, lymph nodes larger than 5 mm are regarded as pathological.

Can lymph nodes be reactive for years?

Not every swollen lymph shrinks back down again. Occasionally, a node swells in response to an infection, but doesn't go back to its normal size. You've had this node for years and said that you don't have any of the classic lymphoma symptoms, such as night sweats, itching, breathlessness, etc.

Can a reactive lymph node be lymphoma?

Swollen lymph nodes

Although enlarged lymph nodes are a common symptom of lymphoma, they are much more often caused by infections. Lymph nodes that grow in reaction to infection are called reactive nodes or hyperplastic nodes and are often tender to the touch.

What autoimmune diseases cause swollen lymph nodes?

Autoimmune diseases that can cause swollen lymph nodes
  • Juvenile rheumatoid arthritis.
  • Rheumatoid arthritis (chronic autoimmune disease characterized by joint inflammation)
  • Systemic lupus erythematosus (disorder in which the body attacks its own healthy cells and tissues)

What is mucosal lymphoid hyperplasia?

The presence of lymphoid hyperplasia is a frequent finding during colonoscopy. It may indicate an enhanced immunological mucosal response to antigenic stimulation such as GMA or infection.

What is non specific reactive hyperplasia?

Non-specific reactive hyperplasia represents an ill-understood entity without standardised line of management. Their evaluation is presented further. The age range for these 20 patients (11 males, 9 females) was between 10 and 50 years (mean 23 years). Maximum number of patients seen were between 15 and 25 years.

Is a lymphoid aggregate a polyp?

Lymphoid polyps (present in 15% of patients) are hyperplastic submucosal lymphoid aggregates, most likely due to a nonspecific infection (exposure to bacteria and viruses). Submucosal lymphoid tissue is prominent in children, particularly in the distal ileum (Peyer patches).

Is reactive follicular hyperplasia benign?

Prognosis. Typically follicular hyperplasia is categorized as a benign lymphadenopathy.

Do benign lymph nodes go away?

Usually, these lumps are benign (non-cancerous), but it's important to have them examined by a physician if they don't go away in a week or two. If appropriate, a doctor may want you to undergo a biopsy of the lymph node. It is impossible to determine if a swollen lymph node is cancerous by simply touching it.

Can benign lymphoma become cancerous?

Benign lymphoma can sometimes turn into cancer, although it is not common. The likelihood of a benign lymphoma becoming cancerous depends on where it is located.

What is Castlemans disease?

Overview. Castleman disease is a rare disorder that involves an overgrowth of cells in your body's lymph nodes. The most common form of the disorder affects a single lymph node (unicentric Castleman disease), usually in the chest or abdomen.

What is mild reactive hyperplasia?

Reactive lymphoid hyperplasia (RLH) is a rare and benign lesion found in organs of the gastrointestinal tract, skin, lung, orbit, and more rarely in the liver. Due to its similar appearance on imaging, it is hard to differentiate from primary liver malignancies.