The Daily Insight

Connected.Informed.Engaged.

general

Is goblet cell carcinoid malignant?

Writer Emily Schmidt

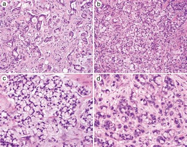
Goblet cell carcinoids (GCC) of the appendix are a subtype of appendiceal cancer. GCC are defined by a unique combination of two types of cancer cells – neuroendocrine (carcinoid) and epithelial (adenocarcinoma). They are extremely rare with an estimated incidence of 1 per 2 million individuals.

What is goblet cell carcinoid?

Goblet cell carcinoid (GCC) is a rare tumor normally occurring in the appendix which displays features of both a neuroendocrine tumor and a more aggressive form of cancer known as an adenocarcinoma. It is usually diagnosed in people over the age of 50.

Is goblet cell carcinoid hereditary?

Causes and / or risk factors for Goblet Cell Carcinoma (GCC)

Most Neuroendocrine Cancers do not run in families; however, a number of rare conditions may increase the risk of them developing.

How fast do carcinoid tumors grow?

This procedure is called endoscopy. If a tumor is found, your healthcare provider may take a sample of the tissue for biopsy. Urine test. If you have a carcinoid tumor that is making too much hormone, it may show up as a type of acid in your urine called 5-HIAA (5-hydroxy indole acetic acid).

What is an atypical carcinoid tumor?

Atypical carcinoids grow a little faster and are somewhat more likely to spread to other organs. They have more cells that are dividing and look more like a fast-growing tumor. They are much less common than typical carcinoids and may be found more often in people who smoke.

Goblet cell carcinoma

29 related questions found

Are carcinoid tumors benign or malignant?

They have been called "cancers in slow motion." Most carcinoids rarely spread to other parts of the body; these tumors are said to be of low malignant potential, midway between benign and malignant. Other carcinoids are malignant and can spread to other parts of the body.

What is the difference between typical and atypical carcinoid tumor?

There are two types of lung carcinoid tumors: typical and atypical. Typical carcinoids account for about 9 out of 10 lung carcinoids. They grow slowly and rarely spread beyond the lungs. Atypical carcinoids are much rarer than typical lung carcinoids.

Are carcinoid tumors fatal?

Carcinoid tumors are typically slow-growing. They grow much more slowly than other cancers such as colon, pancreas, liver, and lung cancer. Many small carcinoid tumors produce no symptoms and are not fatal; they are found incidentally at autopsy.

Can carcinoid tumors be cured?

Most patients with resectable lung carcinoid tumors are cured with surgery alone and don't need other treatments. Some experts recommend further treatment for people with an atypical carcinoid that has spread to lymph nodes. This can be chemotherapy, radiation therapy, or both.

What is the most common site of carcinoid tumor?

The most common locations of gastrointestinal (GI) carcinoid tumors are the small intestine and the rectum. Other common sites include , the colon (large intestine), the appendix, and the stomach.

How rare is goblet cell carcinoid?

Goblet cell carcinoids (GCC) of the appendix are a subtype of appendiceal cancer. GCC are defined by a unique combination of two types of cancer cells – neuroendocrine (carcinoid) and epithelial (adenocarcinoma). They are extremely rare with an estimated incidence of 1 per 2 million individuals.

What is the main function of goblet cells?

Goblet cells are specialized for the synthesis and secretion of mucus. They acquired their name for their typical goblet, cup-like, appearance formed by the mucin granulae that fill up the cytoplasm (Figure 1).

What is carcinoid tumors and adrenal tumors?

Some carcinoid tumors produce ACTH (adrenocorticotropic hormone), a substance that causes the adrenal glands to make too much cortisol (a steroid). This can cause Cushing syndrome, with symptoms of: Weight gain. Muscle weakness.

Are all cancers carcinomas?

Not all cancers are carcinoma. Other types of cancer that aren't carcinomas invade the body in different ways. Those cancers begin in other types of tissue, such as: Bone.

Where goblet cells are found?

Goblet cells are mucin-producing cells found scattered among other cells of the intestinal villi and crypts in lesser numbers than the absorptive cells. Overall, they are found in greater numbers in the large intestine and distal ileum than in the rest of the intestine.

What is appendiceal adenocarcinoma?

Adenocarcinoma of the appendix is a epithelial cancer of the appendix. The term 'epithelium' refers to cells that line hollow organs and glands and those that make up the outer surface of the body. Epithelial cells help to protect or enclose organs. Some produce mucus or other secretions.

What kind of doctor treats carcinoid syndrome?

You may start by seeing your family doctor if you have signs and symptoms of carcinoid syndrome. Depending on what your doctor finds, you may be referred to a doctor who specializes in treating cancer (oncologist), a specialist in disorders of the endocrine system (endocrinologist) or a surgeon.

Can carcinoid tumors be seen on CT scan?

A CT scan is most often used to look at the chest and/or belly (abdomen) to see if GI neuroendocrine (carcinoid) tumors have spread to nearby lymph nodes or other organs such as the liver. It can also be used to guide a biopsy needle into an area of concern..

Is neuroendocrine carcinoid tumors curable?

Outlook (Prognosis)

Typical carcinoids are slow growers. Data on survival of patients with small tumors not causing Carcinoid Syndrome and without spread, treated by surgical removal alone, indicates that a complete cure is usually possible in these cases.

Is carcinoid syndrome a terminal?

Carcinoid syndrome itself is not deadly in that it describes a group of symptoms. Carcinoid syndrome is caused by a neuroendocrine (carcinoid) tumor, and that may lead to liver dysfunction and death in cases where cancer has spread (metastasized).

Is carcinoid the same as carcinoma?

Carcinoid = “cancer-like”

In 1907, Oberndorfer said carcinoid tumors were a “benign carcinoma,” which would not grow or metastasize into nearby tissues and organs. Two decades later, he updated his research to say carcinoid tumors could be cancerous and spread to the small bowel.

Do carcinoid tumors return?

For some people with gastrointestinal (GI) carcinoid tumor, treatment may remove or destroy the cancer. Completing treatment can be both stressful and exciting. You may be relieved to finish treatment, but find it hard not to worry about cancer coming back.

Are carcinoid tumors hereditary?

Does carcinoid tumor run in families? Carcinoid tumor does not seem to run in families. But people with a genetic condition that can run in families called multiple endocrine neoplasia type 1 (MEN1) do have a higher risk of getting carcinoid tumor.