The Daily Insight

Connected.Informed.Engaged.

general

How rare is choriocarcinoma?

Writer Mia Smith

Choriocarcinoma is a rare type of cancer that develops from trophoblastic cells that stay in the uterus after pregnancy. It can grow very fast and spread around the body. However, doctors can usually treat it. Choriocarcinoma happens in about 1 in every 40,000 pregnancies.

How quickly does choriocarcinoma spread?

Choriocarcinoma can develop some months or even years after pregnancy and can be difficult to diagnose, because it is so unexpected. They can grow quickly and might cause symptoms within a short period of time. They can spread to other parts of the body but are very likely to be cured by chemotherapy treatment.

Can choriocarcinoma cancer be cured?

Most women whose cancer has not spread can be cured and will still be able to have children. A choriocarcinoma may come back within a few months to 3 years after treatment. The condition is harder to cure if the cancer has spread and one or more of the following happens: Disease spreads to the liver or brain.

How long is the treatment for choriocarcinoma?

Treatment for choriocarcinoma usually takes 4-5 months to complete and the cure rate is over 95%. The hCG results and treatment graph of a patient who developed choriocarcinoma 3 months after the delivery of her baby are shown in Fig 8.

Is Stage 4 choriocarcinoma curable?

Fortunately, most women who are found to have choriocarcinoma can be cured; treatment with a combination of chemotherapy agents such as etoposide, methotrexate, actinomycin D, cyclophosphamide and vincristine (EMA-CO) is found to be very effective at achieving remission.

How An Abnormal Pregnancy Led To A Rare Form Of Cancer

30 related questions found

What is the survival rate of choriocarcinoma?

Can doctors cure it? Doctors can almost always cure gestational choriocarcinoma with chemotherapy. The survival rates range from about 90 to 100% , depending on a person's risk factors.

Is choriocarcinoma hereditary?

The genetic contributions to the choriocarcinoma were determined by comparing the genotypes of the choriocarcinoma and that of the couples. Results: Four of twelve cases had only a maternal contribution, indicating a non-gestational origin.

Is choriocarcinoma benign or malignant?

Unlike a hydatidiform mole, a choriocarcinoma is a malignant and more aggressive form of GTD that spreads into the muscle wall of the uterus. A choriocarcinoma can also spread more widely to other parts of the body such as the lungs, liver, and/or brain.

What chemotherapy is used for choriocarcinoma?

If you have high risk PTD or choriocarcinoma, you might have the drug methotrexate by drip into a vein (intravenous infusion). This is followed a week later by the drugs actinomycin and etoposide. Or you may have a combination of chemotherapy drugs called EMA-CO.

How is choriocarcinoma detected?

If your doctor thinks you have choriocarcinoma, they'll do some tests:
  1. A pelvic exam to feel for lumps or unusual changes.
  2. A test to look for levels of a hormone called hCG. ...
  3. Blood and urine tests.
  4. An exam to see if the cancer has spread to other parts of your body.
  5. Imaging tests such as CT, MRI, ultrasound, or X-ray.

What are the signs and symptoms of choriocarcinoma?

Symptoms of choriocarcinoma which has spread
  • lungs - you might have a cough, difficulty breathing and sometimes chest pain.
  • vagina - you might have heavy bleeding, and your doctor might be able to feel a lump (nodules) in your vagina.
  • abdomen - you might have abdominal pain.

What is pure choriocarcinoma?

Pure testicular choriocarcinoma is an extremely rare subtype of nonseminomatous germ cell tumor, accounting for less than 1% of all germ cell tumors and only 0.19% of all testicular tumors. It is a highly aggressive malignant tumor with early multiorgan metastasis and poor prognosis.

Are all cancers carcinomas?

Not all cancers are carcinoma. Other types of cancer that aren't carcinomas invade the body in different ways. Those cancers begin in other types of tissue, such as: Bone.

Can choriocarcinoma be seen on ultrasound?

An ultrasound scan can diagnose many women with persistent trophoblastic disease or choriocarcinoma.

What does known malignancy mean?

The term "malignancy" refers to the presence of cancerous cells that have the ability to spread to other sites in the body (metastasize) or to invade nearby (locally) and destroy tissues.

Is choriocarcinoma a germ cell tumor?

Choriocarcinoma is a malignant germ cell tumor that is very aggressive because of early hematogenous dissemination.

What is the drug of choice for choriocarcinoma?

A low-risk (cumulative score less than 7, see staging section below) and stage I to III choriocarcinoma can be treated with a single agent, either methotrexate or actinomycin D chemotherapy.

Is methotrexate used in choriocarcinoma?

Conclusion: Methotrexate is routinely used in a parenteral intramuscular fashion for the treatment of gestational choriocarcinoma. Physicians should be aware that, in very limited situations, oral methotrexate in combination with hysterectomy still could offer a patient successful treatment for stage III GTN.

How common is GTD?

GTD occurs in about 1 out of every 1,000 pregnancies in the United States. Most of these are molar pregnancies. Choriocarcinoma occurs in about 2 to 7 pregnancies out of every 100,000 pregnancies in the United States, and African American women have the highest incidence of it.

What percent of molar pregnancies are cancerous?

Fewer than 15% of molar pregnancies become invasive and spread outside of the uterus. Choriocarcinoma. This is a cancerous tumor formed from trophoblast cells.

How high is hCG molar pregnancy?

The measurement of high hCG levels in excess of 100,000 mIU/mL suggests the diagnosis of a complete molar pregnancy, particularly when associated with vaginal bleeding, uterine enlargement and abnormal ultrasound findings.

Can a molar pregnancy be misdiagnosed?

Conclusion: Clinical and histopathologic diagnosis of twin molar pregnancies is inaccurate in many suspected cases; therefore, a second (expert) opinion should be sought. When the diagnosis is accurate, maternal and fetal complications are common.

Can males have choriocarcinoma?

Primary choriocarcinoma (PCC) is a rare malignancy that can occur in both men and women. In men, the most common primary site is the testis. When the primary tumor is extragonadal, it can occur in the mediastinum,2 retroperitoneum,3 lung,4 brain,5 or digestive tract.

What is another name for a molar pregnancy?

A molar pregnancy — also known as hydatidiform mole — is a rare complication of pregnancy characterized by the abnormal growth of trophoblasts, the cells that normally develop into the placenta. There are two types of molar pregnancy, complete molar pregnancy and partial molar pregnancy.

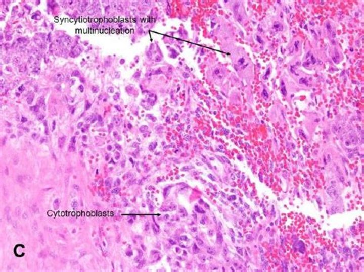
Are chorionic villi seen in choriocarcinoma?

By definition, chorionic villi should not be present in choriocarcinoma (with the exception of intraplacental choriocarcinoma, discussed later). The trophoblast of choriocarcinoma shows marked cytologic atypia (syncytiotrophoblast—somewhat less than other types of trophoblast) (see Fig.