The Daily Insight

Connected.Informed.Engaged.

updates

During palpation of the testes a normal finding is?

Writer John Johnson

The normal testicle is ovoid, smooth, firm, and mildly tender to palpation. The testicle is easily separated from the epididymis, which lies posterior and slightly lateral to the testicle.

What should a normal testicular exam reveal?

Why it's done. Testicular self-exams help you learn how your testicles normally look and feel. Then you're more likely to notice subtle changes. Changes in your testicles could be a sign of a common benign condition, such as an infection or a cyst, or a less common condition, such as testicular cancer.

What happens during a testicular exam?

What Happens During a Testicular Exam? Your doctor should examine your testicles at least once a year. He or she will grasp one testicle at a time, rolling it gently between the thumb and first finger to feel for lumps. The doctor will also feel if the testicle is hardened or enlarged.

Is the epididymis palpable?

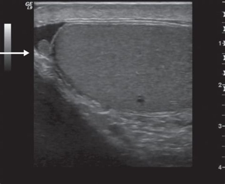
As they are cystic and fluid-filled they are well defined, fluctuant and do not usually transilluminate. As they arise in the epididymis, the testis is palpable quite separately from the cyst (unlike a hydrocele where the testis is palpable within the fluid-filled swelling).

Can vas deferens be palpated?

The vas deferens should be palpated bilaterally. The vas is the diameter and consistency of a venetian blind cord, and is usually posteromedial and separate from the internal spermatic cord structures.

Examination of the Scrotum

32 related questions found

What is palpation used for?

Palpation is a method of feeling with the fingers or hands during a physical examination. The health care provider touches and feels your body to examine the size, consistency, texture, location, and tenderness of an organ or body part.

How do you palpate a vas?

The vas deferens is felt in the scrotum by first encircling the cord with the fingers and thumb and allowing small amounts of cord tissue to pass between the thumb and second or third fingers until the thick, cordlike vas is felt.

Where do you palpate epididymis?

On the back at the top, you should feel the epididymis, a tube that carries sperm. This is a normal lump and may feel tender to the touch. Tell your doctor right away if you notice any swelling, lumps, or changes in the size or color of a testicle.

What is the secretion of epididymis?

The epididymis secretes immobilin, a large glycoprotein that is responsible for the creating of the viscoelastic luminal environment that serves to mechanically immobilize spermatozoa until ejaculation.

Where would lump on testicle be?

The lump will usually form on the front or side of a testicle. It will often feel hard, and the entire testicle may feel firmer than usual. A lump can develop inside the testicle, or just under the skin. One testicle may become larger or swollen.

When do you start self testicular exams?

The testicular exam should begin at age 15 and continue through age 40. It is important to do the exam every month in order to find any changes. The best time to examine your testicles is right after a hot bath or shower. The scrotal skin is most relaxed at this time and the testicles can be felt more easily.

What is the testis?

Listen to pronunciation. (TES-tis) One of two egg-shaped glands inside the scrotum that produce sperm and male hormones. Also called testicle.

What is a full physical exam?

A comprehensive physical exam is sometimes referred to as an executive physical. This exam include laboratory tests, pulmonary function testing, chest x-rays, audiograms, EKGs, full-body CAT scans, heart stress tests, mammograms or prostate exams, and a urinalysis.

Does epididymis secrete fluid?

The duct of the epididymis is an absorptive duct, where some 90% of the fluid secreted by the seminiferous tubules is absorbed.

What occurs in the epididymis?

The epididymis is a duct-like organ that connects the testis to the vas deferens and is comprised of four anatomical regions: the initial segment, caput, corpus, and cauda. Sperm maturation occurs during epididymal transit by the interaction of sperm cells with the unique luminal environment of each epididymal region.

What is ductus epididymis?

The ductus deferens, or vas deferens, is a fibromuscular tube that is continuation of the epididymis and is an excretory duct of the testis. Each ductus is 30-45 cm in length and serves to transport sperms cells from the respective epididymis to the ipsilateral ejaculatory duct.

How do you examine the epididymis?

Gently roll one testicle using the fingers and thumbs of both hands. Feel along the underside of the scrotum to find the epididymis that sits at the back of the testicle. It should feel like a little bunch of tightly curled tubes. Perform TSE on the other testicle.

Which findings are abnormal when palpating the prostate?

Abnormal findings on rectal examination include areas of firmness, either localized (nodules) or generalized. Bogginess and asymmetry may also be noted.

What is chest palpation?

Palpation is the tactile examination of the chest from which can be elicited tenderness, asymmetry, diaphragmatic excursion, crepitus, and vocal fremitus. ... Areas of increased vibration or fremitus correspond to areas of increased tissue density such as those caused by consolidation by pneumonia or malignancy.

Why do we palpate the chest?

Gentle chest-wall palpation is indicated if the patient has chest pain. Local tenderness can be identified, the causes of which include bone, muscle and cartilage disease, and pleurisy (Ford et al, 2005; Epstein et al, 2003; Talley and O'Connor, 2001).

What is palpation of the heart?

Palpation: Palpation includes assessing the arterial pulse, measuring blood pressure, palpating any thrills on the chest, and palpating for the point of maximal impulse. Arterial pulse: When palpating the arterial pulse, the examiner should be able to gather the rate, rhythm, and characteristics.

What is located in the testes?

Testicles (testes)

The testes are oval organs about the size of very large olives that lie in the scrotum, secured at either end by a structure called the spermatic cord. Most men have two testes. The testes are responsible for making testosterone, the primary male sex hormone, and for producing sperm.

What is testis and its function?

The testes are the organs that make sperm and testosterone

The testes, or testicles, are male sex glands that play an important role in the reproductive system. They are the site of sperm production and are also responsible for the production of testosterone.

What are testes made of?

Each testicle is covered by tough, fibrous layers of tissue called the tunica. The outer layer is called the tunica vaginalis and the inner layer is called the tunica albuginea. The testicle is divided into parts called lobules. Each lobule contains tiny U-shaped tubes called seminiferous tubules.