The Daily Insight

Connected.Informed.Engaged.

updates

Does stratified squamous epithelium have cilia?

Writer John Hall

As it rarely occurs as squamous or cuboidal epithelia, it is usually considered synonymous with the term pseudostratified columnar epithelium. ... If a specimen looks stratified but has cilia, then it is a pseudostratified ciliated epithelium, since stratified epithelia do not have cilia.

Does stratified squamous have cilia?

Stratified squamous epithelium: the cells originate from a layer of cells along a basal lamina and form a multilayered structure. ... Columnar cells often produce mucin and may be called a mucinous epithelium. An example is the surface lining of the colon. They may have cilia or microvilli along the lumenal border.

What epithelial tissue has cilia?

Ciliated columnar epithelium is composed of simple columnar epithelial cells with cilia on their apical surfaces. These epithelial cells are found in the lining of the fallopian tubes and parts of the respiratory system, where the beating of the cilia helps remove particulate matter.

Are stratified columnar epithelium ciliated?

An epithelium consisting of several layers of cells with the deeper cells being polyhedral in form and the surface ones columnar with motile cilia, such as that which lines the foetal oesophagus.

Which of the 4 tissue types has cilia?

There are three ways of describing the layering of epithelium: simple, stratified, and pseudostratified. Pseudostratified epithelium possesses fine hair-like extensions called cilia and unicellular glands called goblet cells that secrete mucus. This epithelium is described as ciliated pseudostratified epithelium.

DITW - Stratified Squamous Epithelial Tissue

36 related questions found

Are cilia?

What are Cilia? Cilia are small, slender, hair-like structures present on the surface of all mammalian cells. They are primitive in nature and could be single or many. Cilia play a major role in locomotion.

Where is ciliated epithelium found?

Ciliated epithelia are found in the airways, the uterus and Fallopian tubes, the efferent ducts of the testes, and the ventricular system of the brain.

Why would some epithelial tissues be ciliated?

A region of epithelium consisting of columnar or cuboidal cells bearing hairlike appendages (see cilium) that are capable of beating rapidly. Ciliated epithelium performs the function of moving particles or fluid over the epithelial surface in such structures as the trachea, bronchial tubes, and nasal cavities.

What is ciliated epithelium tissue?

Ciliated epithelium is a thin tissue that has hair-like structures on it. These hairs, called cilia, move back and forth to help move particles out of our body. We find ciliated epithelial tissue in our respiratory tract and in the fallopian tubes of women.

Why are ciliated epithelial cells columnar?

Ciliated columnar cells have their apical (or outside facing) surface covered with many tiny little hairs called cilia. These are used to push mucus and other particles along, making it flow in a specific direction. In addition to these shapes, epithelial cells can be described as being either simple or stratified.

Which of the following part contains ciliated epithelium?

Ciliated epithelium lines the trachea, bronchi of the lungs, parts of the nasal cavities, the uterus and oviduct of the female, and the vas deferens and epididymis of the male.

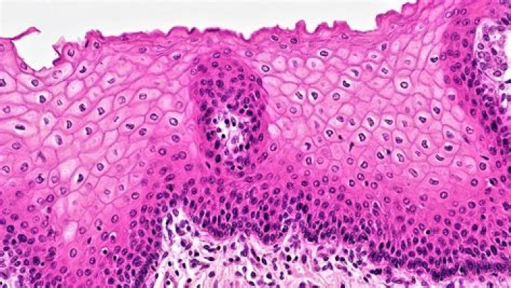
What is a stratified squamous epithelium?

Stratified squamous epithelia have two or more layers of cells, with a superficial squamous layer and basal layers that are usually cuboidal or columnar. ... This type of epithelium can withstand abrasion because the loss of cells from the surface does not compromise the underlying tissue.

Does trachea have ciliated epithelium?

The larynx and trachea are lined by pseudostratified ciliated epithelium (ie, respiratory epithelium), with interspersed mucin-containing cells with apical blebs. The laryngeal and tracheal epithelium is similar to the respiratory epithelium of the nasal passages.

What 3 types of epithelium have ciliated cells?

The respiratory epithelium in trachea and bronchi is pseudostratified and primarily consists of three main cell types – cilia cells, goblet cells, and basal cells. The ciliated cells are located across the apical surface and facilitate the movement of mucus across the airway tract.

How do you identify stratified squamous epithelium?

When classifying a stratified epithelial sheet, the sheet is named for the shape of the cells in its most superficial layers. So a stratified squamous epithelium only necessarily has squamous-shaped cells in its highest layers and might have a different-shaped cell in its lower layers.

What contains a region of stratified squamous epithelium?

The Epidermis. The epidermis is composed of keratinized, stratified squamous epithelium. It is made of four or five layers of epithelial cells, depending on its location in the body.

Are cilia epithelial cells?

In this clip the structure and function of a ciliated epithelial cell is described. Cilia are tiny hair like structures on the surface of the cell. The hairs sweep hair, mucus, trapped dust and bacteria up to the back of the throat where it can be swallowed.

What is the difference between ciliated cells and ciliated epithelium?

Based on the structure of cells present, epithelial tissue can be classified in several ways. ... The main difference between ciliated epithelial cell and squamous epithelial cell is that ciliated epithelial cell consists of cilia whereas squamous epithelial cell lacks cilia.

Which of the following organs is lined with cilia?

The bronchus in the lungs are lined with hair-like projections called cilia that move microbes and debris up and out of the airways. Scattered throughout the cilia are goblet cells that secrete mucus which helps protect the lining of the bronchus and trap microorganisms.

What is the ciliated epithelium adaptations?

Ciliated cells are adapted in the respiratory tract to form an epithelial lining of coordinated metachronal ciliary activity that provides the propelling force for the transport of mucus along the airways.

Where do you find ciliated epithelium in animal body?

Ciliated epithelium is found within the bronchioles of the respiratory tract and in the fallopian tube of the female reproductive tract.

What is cilia in cell?

Cilia are microtubule-based hair-like organelles that extend from the surface of almost all cell types of the human body. ... Sensory cilia act as cellular antennae to sense environmental and morphogenic cues, for example, during development.

What organisms have cilia?

Cilia are present on single-celled organisms such as paramecium, a tiny, free-living protist that can be found in fresh water ponds. Usually about 2-10 µm long and 0.5 µm wide, cilia cover the surface of the paramecium and move the organism through the water in search of food and away from danger.

How are cilia formed?

Cilia usually form during the G1 of the cell cycle and disassemble during mitosis. ... During G1, the mother centriole attaches at the cell cortex and forms the cilium. During S-phase, the mother centrioles and daughter centrioles (new centrioles) duplicate and new daughter centrioles are formed.

Do bronchioles have ciliated epithelium?

Respiratory System

The bronchioles are lined by simple cuboidal ciliated epithelium, have no hyaline cartilage or submucosal glands, and are surrounded by elastic fibers and smooth muscle. In addition, the club cell is the major cell type in the epithelium of bronchioles.