The Daily Insight

Connected.Informed.Engaged.

general

Can you see ribosomes with an electron microscope?

Writer Olivia Hensley

Mitochondria are visible with the light microscope but can't be seen in detail. Ribosomes are only visible with the electron microscope.

What ribosomes look like under electron microscope?

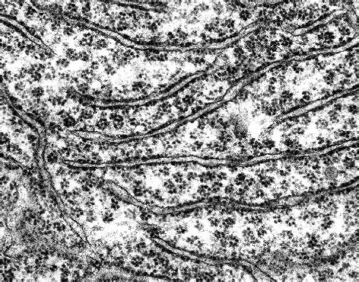
Ribosomes - which cannot be seen with a light microscope, but only using an electron microscope - are the site of protein synthesis. Even at very high magnification, they look like (pairs of) dots.

Why can ribosomes be seen through an electron microscope?

Explanation: Some cell parts, including ribosomes, the endoplasmic reticulum, lysosomes, centrioles, and Golgi bodies, cannot be seen with light microscopes because these microscopes cannot achieve a magnification high enough to see these relatively tiny organelles.

What organelles can you see with an electron microscope?

The cell wall, nucleus, vacuoles, mitochondria, endoplasmic reticulum, Golgi apparatus, and ribosomes are easily visible in this transmission electron micrograph.

What can an electron microscope see?

An electron microscope is a microscope that uses a beam of accelerated electrons as a source of illumination. ... Electron microscopes are used to investigate the ultrastructure of a wide range of biological and inorganic specimens including microorganisms, cells, large molecules, biopsy samples, metals, and crystals.

35 related questions found

Can an electron microscope see an atom?

An electron microscope can be used to magnify things over 500,000 times, enough to see lots of details inside cells. There are several types of electron microscope. A transmission electron microscope can be used to see nanoparticles and atoms.

Which structure could not be seen using an electron microscope?

For example, one cannot see the ribosomes, endoplasmic reticulum, lysosomes, centrioles, golgi bodies unless they have an electron microscope for increased magnification.

What is the function of a ribosome?

Ribosomes have two main functions — decoding the message and the formation of peptide bonds. These two activities reside in two large ribonucleoprotein particles (RNPs) of unequal size, the ribosomal subunits. Each subunit is made of one or more ribosomal RNAs (rRNAs) and many ribosomal proteins (r-proteins).

What substance do ribosomes make?

Ribosomes facilitate the synthesis of proteins in cells (i.e., translation) (see Figs. 1-1 and 1-3). Their function is to “translate” information encoded in mRNA into polypeptide chains of amino acids that make up proteins.

What must be visually studied using electron microscopy?

Electron microscopy (EM) is a technique for obtaining high resolution images of biological and non-biological specimens. It is used in biomedical research to investigate the detailed structure of tissues, cells, organelles and macromolecular complexes.

Why are ribosomes not visible using a light microscope?

Ribosomes are not visible when using a light microscope because they are too small to see. They're only about 25 nm while the maximum resolution of a light microscope is only 200 nm.

What microscope do you need to see chloroplast?

Since they contain chlorophyll, which is green, chloroplasts can be seen without staining and are clearly visible within living plant cells. However, viewing the internal structure of a chloroplast requires the magnification of an electron microscope. These living plant cells are viewed by light microscopy.

Which stain is used to observe ribosomes?

Immunogold labeling can be applied to be more specific, although in conventional staining by uranyl acetate and lead citrate, ribosomes can be nicely observed.

Why are some organelles not visible under a microscope?

Due to their size and the limited resolution of light microscopy, most cellular organelles are not visible or their detailed structure can't be studies in regular stained tissue sections. The major exception is the cell nucleus of all nucleated cells.

Are ribosomes eukaryotic or prokaryotic?

Ribosomes are special because they are found in both prokaryotes and eukaryotes. While a structure such as a nucleus is only found in eukaryotes, every cell needs ribosomes to manufacture proteins.

Does a eukaryotic cell have a ribosome?

Ribosomes occur both as free particles in prokaryotic and eukaryotic cells and as particles attached to the membranes of the endoplasmic reticulum in eukaryotic cells. The small particles that came to be known as ribosomes were first described in 1955 by Romanian-born American cell biologist George E.

What does ribosome look like?

A ribosome itself looks like a little hamburger bun. It's made of two subunits: a big one (the top bun) and a small one (the bottom bun). ... Eukaryotic ribosomes are found floating freely in the cytoplasm or attached to the rough endoplasmic reticulum (RER or rough ER for short).

Why 50S and 30S make 70S?

Protein synthesis begins with the interaction of the 30S subunit and mRNA through the Shine-Delgarno sequence. On formation of this complex, the initiator tRNA charged with formylmethionine binds to the initiator AUG codon, and the 50S subunit binds to the 30S subunit to form the complete 70S ribosome.

Where are ribosomes present?

Ribosomes are found 'free' in the cytoplasm or bound to the endoplasmic reticulum (ER) to form rough ER. In a mammalian cell there can be as many as 10 million ribosomes. Several ribosomes can be attached to the same mRNA strand, this structure is called a polysome.

Why is the ribosome so important?

A ribosome is a complex macromolecular structure in the cell which is involved in the process of translation. This is an essential function of all living cells, allowing for the production of proteins and all manner of biological structures.

How are ribosomes adapted to their function?

The grooves of the ribosome allow for mRNA to be held in place while tRNA reads the "code" that determines which amino acid is next in the sequence. It is the very structure of ribosomes that completes the Central Dogma of Biology, or DNA to RNA to Protein.

Why is the ribosome the most important organelle?

Why are ribosomes The most important organelle? Ribosomes are the best candidate for The Supreme Cell Organelle. The main function of ribosomes is protein synthesis. Cells need protein to survive; without protein, the cell would die.

Can you see bacteria with a light microscope?

Generally speaking, it is theoretically and practically possible to see living and unstained bacteria with compound light microscopes, including those microscopes which are used for educational purposes in schools.

Are ribosomes in plant and animal cells?

Animal cells and plant cells are similar in that they are both eukaryotic cells. ... Animal and plant cells have some of the same cell components in common including a nucleus, Golgi complex, endoplasmic reticulum, ribosomes, mitochondria, peroxisomes, cytoskeleton, and cell (plasma) membrane.

What Cannot be seen with a light microscope?

With light microscopy, one cannot visualize directly structures such as cell membranes, ribosomes, filaments, and small granules and vesicles.