The Daily Insight

Connected.Informed.Engaged.

general

Can you break cuneiform bone?

Writer Olivia Hensley

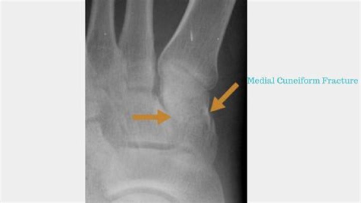
Isolated fractures of the cuneiform bones are rare, and even since the development of advanced diagnostic imaging techniques, reports of isolated fractures remain scarce.

How do you know if your cuneiform bone is broken?

Symptoms
  1. Immediate, throbbing pain.
  2. Pain that increases with activity and decreases with rest.
  3. Swelling.
  4. Bruising.
  5. Tenderness.
  6. Deformity.
  7. Difficulty in walking or bearing weight.

Is it easy to break a cuneiform bone?

Isolated fractures of the cuneiforms are extremely rare, accounting for only 1.7% of all midfoot fractures.

Can you break your lateral cuneiform?

An isolated fracture of the lateral cuneiform is a rare finding. However, isolated injuries may occur as the result of direct trauma. We report a case of an isolated fracture of the lateral cuneiform that was not seen on initial radiographs and only became evident on plain radiographs 4 weeks after the injury.

What do you do for broken cuneiform?

You may or may not have had surgery. Your doctor may have put your foot in a cast or splint to keep it stable. You may have been given crutches to use to keep weight off your foot. A metatarsal fracture may take from 6 weeks to several months to heal.

Bones of the foot: cuneiform bones - Human Anatomy | Kenhub

28 related questions found

Can you break a bone in your foot by stubbing your toe?

Yes, you can break a bone by stubbing your toe. In most cases, treatment for a broken toe and sprained toe are the same. The time for recovery is lengthened, and you will need to avoid strenuous activity or pressure to it.

Can you break a bone in your foot without bruising?

Typically the stress fracture causes a tender area along the line of the second or third metatarsal bone. There may be some swelling but there is usually no bruising.

Why does my lateral cuneiform bone hurt?

Cuboid syndrome is a medical condition caused when the cuboid bone moves out of alignment. It is most often the result of injury or trauma to the joint and/or ligaments surrounding the small tarsal bone. Cuboid syndrome causes discomfort and pain on the outside (lateral side) of the foot.

What is a cuneiform bone?

1 : any of three small bones of the tarsus situated between the navicular and the first three metatarsals: a : one on the medial side of the foot that is just proximal to the first metatarsal bone and is the largest of the three bones.

What is a Jones FX?

A Jones fracture is a fracture of the bone on the pinky toe side of your foot, the fifth metatarsal bone. This fracture can happen when you increase your training, increase pressure on your feet from gaining weight, or run on uneven surfaces.

What causes midfoot pain?

The most common causes of midfoot problems stem from overuse (leading to joint pain, tendinitis, or stress fractures), injuries (sprains, ligament tears, or fractures and dislocations), arthritis (which may manifest as bony prominences or swelling and pain), tight calf muscles (causing increased pressure in the joints) ...

What is a midfoot sprain?

A midfoot sprain is a common type of foot sprain that affects ligaments in the middle of your foot. Ligaments attach your five, long metatarsal bones to four smaller bones (three cuneiform bones and the cuboid) at five tarsometatarsal joints.

What happens if a fracture is left untreated?

When a bone fracture is untreated, it can result in either a nonunion or a delayed union. In the former case, the bone doesn't heal at all, which means that it will remain broken. As a result, swelling, tenderness, and pain will continue to worsen over time.

How do you tell if foot is fractured or sprained?

In general, a broken foot tends to be more painful than a sprained foot, and the pain lasts longer. Bruising, swelling, and tenderness are also more severe if your foot is broken. Another way to tell the difference between a broken foot and sprained foot is the sound the body makes when the injury occurs.

How long does a cuneiform fracture take to heal?

Treatment of uncomplicated cuneiform stress fractures depends on severity. Most should improve within 4 to 6 weeks of protected weight-bearing in a fracture boot or with partial weight-bearing, followed by a gradual return to activities over a 4-week period.

How many cuneiform bones are there in one foot?

Anatomical terms of bone

There are three cuneiform ("wedge-shaped") bones in the human foot: the first or medial cuneiform. the second or intermediate cuneiform, also known as the middle cuneiform. the third or lateral cuneiform.

What do cuneiform bones do?

Function. The wedge shape of the cuneiform bones help to form and keep the transverse arch of the foot.

How do I know if I broke my cuboid bone?

Symptoms of a cuboid fracture include bruising, tenderness, swelling, lateral foot pain, instability, and difficulty with weight bearing. Cuboid fractures have the potential to cause considerable deformity involving the foot arch, lateral column, and the function of the forefoot.

Why does my bone stick out on the side of my foot?

Wearing tight, narrow shoes might cause bunions or make them worse. Bunions can also develop as a result of the shape of your foot, a foot deformity or a medical condition, such as arthritis. Smaller bunions (bunionettes) can develop on the joint of your little toe.

Can you sprain your cuboid bone?

Cuboid syndrome is thought to be caused when your cuboid bone everts (moves outward) from your foot while your calcaneus, or heel bone, inverts (moves inward) from your foot. This can dislocate one or both bones or tear nearby ligaments. Sprains or injuries to your ankle are among the most frequent causes of this.

Can you walk on a hairline fracture?

Although one can walk on a foot with a stress fracture, these tiny hairline breaks should not be ignored as they can return unless properly treated.

How do I know if my foot injury is serious?

Go to the emergency room if:
  1. there's an open wound on your foot.
  2. pus is coming out of your foot.
  3. you can't walk or put weight on your foot.
  4. you experience severe bleeding.
  5. there are broken bones coming through your skin.
  6. you feel lightheaded or dizzy.
  7. you think your foot could be infected.

Can you break a metatarsal and still walk?

A patient with a broken metatarsal may be able to walk, depending on how painful the injury is. Despite this, the patient with a metatarsal fracture is advised to avoid excessive walking, especially on uneven ground, to eliminate the risk of displacement.

Can stubbing your toe break it?

Stubbing a toe can even cause breaks, sprains, broken nails, and infections. The pain of a stubbed toe usually subsides after a few minutes. In some cases, however, the impact could break the toe or the toenail, causing intense pain that may get worse over hours or days.

How do you know if you have damaged your metatarsal?

You may hear a sound at the time of the break. Pinpoint pain (pain at the place of impact) at the time the fracture occurs and perhaps for a few hours later, but often the pain goes away after several hours. Crooked or abnormal appearance of the toe. Bruising and swelling the next day.