The Daily Insight

Connected.Informed.Engaged.

news

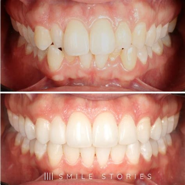
Can invisalign fix a canted smile?

Writer John Johnson

If your canted smile is resulting from malocclusion, straightening it through orthodontic treatment - like braces or Invisalign - can help.

How do you fix a canted smile?

Treatment options to correct the cant include orthodontics with or without orthognathic surgery, restorative dentistry and periodontal crown lengthening surgery. Often a combination will be needed based on what the other esthetic, functional and dental goals are for the patient.

Can Invisalign fix slanted teeth?

Is Invisalign Effective for Treating Midline Misalignment? In most cases, yes. Invisalign is a highly effective and versatile treatment that can correct a wide range of teeth and jaw misalignments.

Can braces fix asymmetrical smile?

By altering the size, positioning or even shape of the jaw, appliances or braces can fix an asymmetrical face more effectively. It also creates space for the permanent teeth to erupt properly. Treatment will have a dramatic impact on the patient's facial appearance that can last a lifetime.

Can Invisalign help widen smile?

If the maxillary arch is wide enough that it does not need to be expanded, or if palate-expanding surgery is complete, Invisalign can be used to shift the teeth into the correct position and widen the smile. ... Once the teeth have been shifted into a wider position, the smile will appear wider.

🛑 STOP... Watch Before You Start SMILE DIRECT CLUB, Candid, Invisalign, or Traditional Ortho!

34 related questions found

Why is my smile not wide?

Narrow arches tend to be caused by the width and alignment of the teeth. When teeth are missing, this can also cause the smile to look narrow. The consequences of a narrow smile often lead to the cheeks being unsupported and the thinning of lips causing an aged appearance.

What's the difference between smile direct and Invisalign?

The difference being, Invisalign offers in-person treatment, while Smile Direct Club offers remote treatment. Both treatments correct the cosmetics of your smile, and with Smile Direct Club, they can correct some bite issues too. With Invisalign, you can treat most bite cases as well as any severely misaligned teeth.

Can Invisalign change face?

However, others might be more cautious, first considering how treatments like Invisalign can affect their appearance. If this is something that also worries you, you are in luck. Invisalign will more than likely improve the way you look, as it may correct minor misalignments in your jaw and teeth.

How do you fix an asymmetrical smile?

How are asymmetrical features treated?
  1. Fillers. Inserting a “soft filler” into your face by way of an injection may correct the appearance of facial asymmetry. ...
  2. Facial implants. If your face is asymmetrical because of your skeletal structure, you may consider implants. ...
  3. Rhinoplasty.

Are fixed braces better than Invisalign?

Unlike an Invisalign treatment which is extremely useful for esthetic purposes and simple dental issues, braces are functional and work efficiently for fixing complex tooth issues. Braces can also be expected to work faster at closing gaps and aligning the teeth than Invisalign.

Why are my teeth straight but slanted?

When they are moved to the correct position, edges appears uneven despite the teeth being straight. This is due to the different levels of tooth wear on the teeth, and can make straight teeth look extremely crooked. Luckily this is easily solved with cosmetic recontouring/bonding.

How do you fix slanted top teeth?

What are my options for straightening my teeth?
  1. Metal braces. Fixed metal braces are attached to the teeth with brackets, bands, and flexible wire. ...
  2. Ceramic braces. ...
  3. Invisible braces. ...
  4. Lingual braces. ...
  5. Teeth-straightening surgery.

Is there a way to fix slanted teeth?

Dental bonding allows your dentist to painlessly correct uneven or crooked teeth by applying a composite resin to the front surface of the affected teeth. Bonding, also called cosmetic bonding, is an ideal choice for closing annoying gaps between teeth, reshaping them, or even lightening discolored teeth.

What causes canted jaw?

When the jaws don't fit together normally, it is due to an underbite, overbite or crossbite. A crossbite is relatively rare but it can cause a canted midline. In most cases, a canted midline is not the result of a bite issue. The teeth are simply not positioned symmetrically.

How much does it cost for Invisalign?

The Invisalign website says their treatment costs anywhere from $3,000–$7,000. And they say that people may qualify for up to $3,000 in help from their insurance company. According to the Consumer Guide for Dentistry, the national average for Invisalign is $3,000–$5,000.

Can Invisalign correct for occlusal?

Commonly, dental patients wish to close the gaps between some teeth. A slanted or canted smile. If you have Occlusal Cant, you are a great candidate for invisalign. It may dramatically change and correct the position of your teeth which will improve the cosmetics greatly.

Why did my mouth go crooked?

The exact cause is unknown. It's believed to be the result of swelling and inflammation of the nerve that controls the muscles on one side of your face. Or it might be a reaction that occurs after a viral infection. For most people, Bell's palsy is temporary.

Can facial asymmetry be fixed?

For many, that's a win. Fillers — By inserting a “soft filler” directly into the face via a small injection, it is possible to correct facial asymmetry. Such fillers often include Botox, which is popular to help raise the eyebrows or smooth the wrinkles on one side of the face.

What does a lopsided smile mean?

The Lopsided Smile

Some people have naturally lopsided smiles, in which case it doesn't have much meaning and is more like that person's version of a Duchenne smile. Other times, it conveys mixed emotion or a sense of wariness.

Can Invisalign shift your jaw?

Yes, Invisalign can move and change your jaw. ... However, attachments and rubber brands can be used alongside your Invisalign to help shift the teeth and jaw into the correct position, to help ensure a healthy bite.

Can Invisalign fix double chin?

Invisalign treatment helps the arches to meet correctly and ensures the bite is aligned. The procedure results in a well-structured profile, a better jawline, and a stronger chin.

What can go wrong with Invisalign?

If not planned properly, the Invisalign will not move the teeth as predicted. What could go wrong? Patients can end up with un-esthetic results – protrusive teeth, asymmetric teeth, teeth that won't fully straighten, etc. Patients can end up with gum disease, jaw aches, and unstable results.

Did smile direct ruin your teeth?

Other Smile Direct customers have reported nerve damage and broken teeth from the aligner trays. Sadly, many patients who initially choose Smile Direct in hopes of saving money on orthodontic treatments, end up spending thousands more dollars on fixing their teeth with traditional braces and other methods.

Which is more expensive Invisalign or smile direct?

Comparing Cost and Time

Invisalign, Smile Direct is the clear winner. Treatment with Invisalign costs between $3000 and $8000 and takes an average of 12 to 18 months, depending on the severity of the problems. Smile Direct can take as little as six months and charges about $1850 for treatment.

How much cheaper is SmileDirectClub than Invisalign?

#6 - It's Cheaper Than Invisalign

Smile Direct Club costs anywhere from $1850 - $2170 with additional costs for impression taking and retainers. Invisalign costs anywhere from $3500-$8000 depending on the complexity of the case.