The Daily Insight

Connected.Informed.Engaged.

news

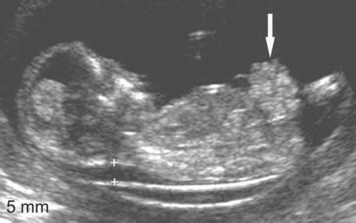
Can gastroschisis be seen on ultrasound?

Writer Mia Kelly

It is possible for gastroschisis to be detected in the third month of pregnancy. However, we most often perform evaluations for it at 20-24 weeks, after it has shown up on an ultrasound. It is most commonly diagnosed by ultrasound around weeks 18-20 of pregnancy.

Can gastroschisis be detected before birth?

Gastroschisis can be diagnosed by prenatal ultrasound or upon birth. It is differentiated from omphalocele by the presence of freely floating abdominal organs in the amniotic cavity without a membranous covering. The organs appearing on the outer surface of the abdomen, after delivery, confirms the diagnosis.

How do you know if your baby has gastroschisis?

During pregnancy, there are screening tests (prenatal tests) to check for birth defects and other conditions. Gastroschisis might result in an abnormal result on a blood or serum screening test or it might be seen during an ultrasound (which creates pictures of the baby's body while inside the womb).

Can gastroschisis be misdiagnosed?

Misdiagnosis of exomphalos as gastroschisis has occurred in 5% of patients. This misdiagnosis has serious implications because exomphalos is often associated with chromosomal and other severe anomalies and karyotyping is not performed in patients with gastroschisis.

Do babies with gastroschisis have belly buttons?

"Most parents of babies with gastroschisis don't even see the belly button, but it's there," says Faisal Qureshi, a pediatric surgeon at Children's National Medical Center in Washington, D.C. Surgeons put the intestine back into the abdomen and sometimes can stretch the belly button over the hole.

Ultrasound Video showing a rare case of fetal anomaly called Gastroschisis.

36 related questions found

Is gastroschisis more common in males or females?

Gastroschisis affects both males and females in equal numbers. Most babies with gastroschisis are born to young mothers in their first pregnancy. Usually, the condition is not inherited, and future pregnancies are not affected. What happens after your baby is born?

How do you deliver a baby with gastroschisis?

We usually recommend delivery a little early (around 37 weeks) for babies who are small and have gastroschisis, and moms are typically able to deliver vaginally. Babies with gastroschisis usually do not need to be delivered by C-section.

How early can gastroschisis be detected?

If your baby has gastroschisis, an ultrasound may show the bowels floating outside of your baby's belly. Health care providers may find gastroschisis as early as 10 weeks of pregnancy on ultrasound, but it's most often diagnosed between 18 and 20 weeks.

Can gastroschisis be corrected?

Most of the time, gastroschisis can be corrected with one or two surgeries. How well your baby does will depend on how much damage there was to the intestine. After recovering from surgery, most children with gastroschisis do very well and live normal lives.

What is the survival rate for gastroschisis?

Purpose: Gastroschisis is a rare congenital anomaly consisting of an abdominal wall defect resulting in extrusion of the abnormal organs. Survival of these infants exceeds 90%.

Is gastroschisis caused by drugs?

Recreational drug use is a significant risk factor for gastroschisis and is one of a constellation of potentially preventable exposures which include cigarette smoking, aspirin use, and history of gynecologic infection/disease.

Can you prevent gastroschisis?

How can I prevent gastroschisis in a future pregnancy? Take prenatal vitamins as directed. Make sure the vitamins contain 400 micrograms of folic acid. Folic acid helps prevent birth defects such as gastroschisis.

Can you have a natural birth with gastroschisis?

Many children with gastroschisis are born prematurely, often at around 35 weeks. Most are induced at around 37 weeks as there are increased risks after this time. Generally children are born naturally (vaginal childbirth) but some may need a caesarean section for other reasons.

Is gastroschisis a high risk pregnancy?

It is well known that fetuses with gastroschisis have a high risk of developing fetal distress16 – 18,28 and an increased risk of intrauterine fetal death (IUFD) has been reported16,18,28,29. The aim of this study was to follow a case-series of fetuses with a prenatal diagnosis of gastroschisis.

What anomaly is gastroschisis?

Gastroschisis most often occurs as an isolated anomaly and extragastrointestinal associations are rare. Most commonly, the anomalies associated with gastroschisis are cardiac and central nervous system abnormalities. Respiratory insufficiency has sometimes been reported in association with giant abdominal wall defects.

What is the typical prognosis for infants with gastroschisis?

Gastroschisis prognosis

In most babies, the long-term prognosis is very good. However, some babies may develop a condition known as short gut.

What are the symptoms of gastroschisis?

Symptoms
  • Lump in the abdomen.
  • Intestine sticks through the abdominal wall near the umbilical cord.
  • Problems with movement and absorption in the gut due to the unprotected intestine being exposed to irritating amniotic fluid.

Can gastroschisis cause problems later in life?

Conclusion. This study found that gastroschisis patients experience few GI problems at adolescent or adult age, though patients with complications during gastroschisis treatment are more likely to develop abdominal complaints later in life.

Is gastroschisis a surgical emergency?

The gastroschisis is a surgical emergency requiring intervention in the first day of life.

What is the difference between omphalocele and gastroschisis?

In gastroschisis, the opening is near the bellybutton (usually to the right) but not directly over it, like in omphalocele. Like in omphalocele, the opening allows the intestines to spill out but unlike omphalocele, the intestines are not covered by a thin sac.

Is gastroschisis associated with other abnormalities?

Gastroschisis may be associated with gastrointestinal anomalies. Other birth defects are associated with gastroschisis, most commonly, abnormalities of the cardiac and genitourinary.

What is gastroschisis associated with?

Gastroschisis is a full-thickness paraumbilical abdominal wall defect usually associated with evisceration of bowel (picture 1) and sometimes other abdominal organs.

Is gastroschisis life threatening?

Gastroschisis (gast-roh-SKEE-sis) is when a baby is born with the intestines sticking out through a hole in the belly wall near the umbilical cord. Sometimes other organs also stick out. It's a life-threatening condition that needs treatment right away.

What are the chances of having another baby with gastroschisis?

Traditional knowledge holds that there is a 3.5% chance of having another child with gastroschisis, but studies show that this is greatly underestimated67 and there “may be higher risk of recurrence than previously known”68. However, multiple studies have shown that there is a familial component to this birth defect.

How much is surgery for gastroschisis?

The average cost of hospitalization and physician fees for patients with gastroschisis was $123,200. Using multivariate regression analysis, significant variables (P <. 05) associated with cost of hospitalization were number of operative procedures, ventilatory days, male gender, and length of stay.