The Daily Insight

Connected.Informed.Engaged.

general

Are monocytes in connective tissue?

Writer Emily Schmidt

Monocytes develop in bone marrow, circulate in the bloodstream, and migrate into connective tissue, where they differentiate into macrophages.

Where Can monocytes be found?

Monocytes are the largest of the leukocytes. They are found in all vertebrates and produced in the bone marrow before being released into the circulation. Under normal conditions, monocytes make up between 3% and 8% of the circulating cell population and their numbers increase in response to infection.

Which cells are found in connective tissue?

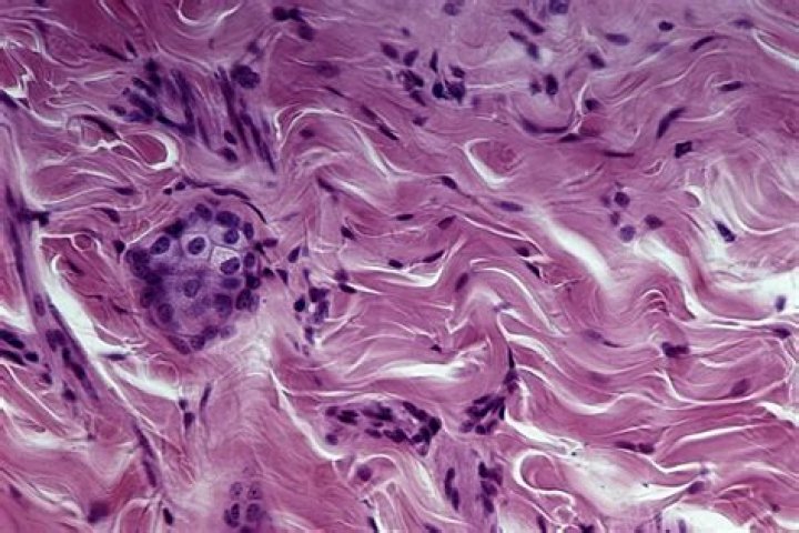
The common cell types in connective tissue include: fibroblasts, mast cells, plasma cells, macrophages, adipocytes, and leukocytes. Slide 72 Tendon. Fibroblasts are the most common cell type of connective tissue. They produce both fibers and amorphous ground substance.

Are connective tissue cells that arise from monocytes?

Macrophages - Large phagocytic cells that wander through connective tissues where they engulf and destroy bacteria, other foreign particles and dead or dying cells of our own body. ... They arise from certain white blood cells called monocytes or from the same stem cells that produce monocytes.

Are macrophages in connective tissue?

The cells which are called macrophages in ordinary connective tissue are called monocytes in blood. Blood cells similar to tissue mast cells are called basophils. ... Bone and cartilage are special forms of connective tissue, made by specialized osteoblasts and chondroblasts, with uniquely solidified ground substance.

Loose connective tissue with fibroblasts, neutrophil and monocyte

24 related questions found

Are monocytes macrophages?

Monocytes and macrophages are very closely related cells with a few important distinctions and different use cases. Put simply, monocytes are macrophages in the blood; macrophages are monocytes in tissue.

Are mast cells monocytes?

How do MCPs and monocytes differ? MCPs are the committed progenitor of mast cells, whereas monocytes are the committed precursor of macrophages.

Are monocytes phagocytic?

Monocytes are phagocytic leukocytes of the blood that, in conjunction with tissue macrophages and neutrophils, are important cells involved in first-line defense against pathogenic organisms or foreign cells (Fig. 19.4).

Which types of cells found in connective tissue are phagocytic?

Connective Tissue: Macrophages, Mast cells and Plasma cells.

Macrophages (histiocytes) - are phagocytes - these cells 'eat' particles such as bacteria. These cells are derived from white blood cells called monocytes (see the section on blood).

Which cell is a connective tissue macrophage *?

Which connective tissue cell is a tissue macrophage? The histiocyte is a tissue macrophage. Fibroblasts, histiocytes, plasma cells, and mast cells are routinely seen in loose connective tissue.

Which cell type found in connective tissue proper is formed from monocytes?

The macrophage cell is a large cell derived from a monocyte, a type of blood cell, which enters the connective tissue matrix from the blood vessels.

Are chondrocytes found in connective tissue?

Cartilage. Cartilage is a specialized form of connective tissue produced by differentiated fibroblast-like cells called chondrocytes. ... Chondrocytes are located within lacunae in the matrix that they have built around themselves.

Which of the following are found in connective tissues?

Specialised connective tissue includes tendons and ligaments, Bone and Cartilage, haemopoetic tissue, blood and adipose tissue. Bone contains Osteocytes, and osteoblasts (osteo - bone) which secrete the type of extracellular matrix material (ECM) that makes up bone.

How do monocytes differentiate into macrophages?

Monocytes express various receptors, which monitor and sense environmental changes. ... Monocytes can differentiate into inflammatory or anti-inflammatory subsets. Upon tissue damage or infection, monocytes are rapidly recruited to the tissue, where they can differentiate into tissue macrophages or dendritic cells.

What do monocytes produce?

Monocytes are bone marrow derived leukocytes that circulate in the blood and spleen. They are characterized by their ability to recognize “danger signals” via pattern recognition receptors. Monocytes can phagocytose and present antigens, secrete chemokines, and proliferate in response to infection and injury.

What are circulating monocytes?

Circulating Monocytes and their Subsets. Human monocytes are bone marrow-derived leukocytes that circulate in the blood and can differentiate into monocyte-derived macrophages and monocyte-derived dendritic cells that govern innate and adaptive immune responses (1).

Are NK cells phagocytic?

Uniquely, activation of NK cells was triggered by actin-dependent phagocytosis. Antifungal activity of NK cells against C. albicans could be detected and mainly attributed to secreted perforin.

Are mast cells phagocytic?

Types of Phagocytes

Most phagocytes are derived from stem cells in the bone marrow. The main types of phagocytes are monocytes, macrophages, neutrophils, tissue dendritic cells, and mast cells.

Which of the following are phagocytic cells?

In the blood, two types of white blood cells, neutrophilic leukocytes (microphages) and monocytes (macrophages), are phagocytic. Neutrophils are small, granular leukocytes that quickly appear at the site of a wound and ingest bacteria.

What do monocytes differentiate into in the tissues?

Monocytes can differentiate into inflammatory or anti-inflammatory subsets. Upon tissue damage or infection, monocytes are rapidly recruited to the tissue, where they can differentiate into tissue macrophages or dendritic cells.

What are phagocytic monocytes called?

Macrophages. Macrophages are derived from monocytes and are found in the tissues. They have a major role as a first defence mechanism in phagocytosis of cellular debris, microbes and any other foreign substances.

Can monocytes present antigens?

Monocytes emerge from the bone marrow as a CCR2hi Ly-6Chi population. In the bone marrow, they can take up antigens from at least some other neighboring cells, and these antigens can be presented later in the life-cycle of the monocyte.

What are monocytes and mast cells?

While monocytes remain largely in the circulation, monocyte-derived cells (including macrophages) as well as mast cells are resident in the tissues. All three cell types are potent producers of cytokines, chemokines and other factors some of which affect vascular integrity.

Where are plasma cells found in connective tissue?

Plasma cells are mature antibody-secreting lymphocytes that are present in limited numbers in loose connective tissues and in larger numbers in lymphoid tissue.

Where are mast cells found?

A type of white blood cell that is found in connective tissues all through the body, especially under the skin, near blood vessels and lymph vessels, in nerves, and in the lungs and intestines.